美容外科・美容皮膚科・審美歯科なら湘南美容クリニック
電話予約・電話問い合わせ 10:00~22:45対応 番号を通知してお電話ください 0120-489-100
Instagram
LINE
YouTube
公式アプリ
美容皮膚科
あなたに最適な美容メンテナンスをサポートします!
二重整形
これを見たらあなたも思わず二重にしたくなる♡
医療ダイエット
医療ダイエットをしたらマイナス何センチ?リアルな結果を発信中!
若返り
年齢別・お悩み別で「今やるべき美容医療」がわかる美容医療メディア
クマ取り
クマ取り失敗したくない方必見!成功の秘訣満載★
脂肪吸引
美は武器!夜職女性のための美の総合メディア
予約・お問い合わせ
美容外科 MENU
Language
メインメニュー
診療内容一覧
料金一覧
クリニック案内
ドクター一覧
モニター募集
症例写真
よくある質問
当院が選ばれる理由
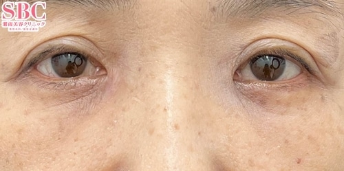
当院の症例写真は、画像処理により形や大きさをかえるような処理は一切おこなっておりません。
庄聡史 医師
施術前
施術後1ヶ月後
施術した院
部位
施術
施術回数
数量
性別
ご覧いただきありがとうございます湘南美容クリニック大分院 庄聡史です■アイバックリムーブ法とは目の下の余剰皮膚切除&眼窩脂肪除去を行い目袋と皮膚のたるみを改善する方法です下瞼を支える力が弱い人には、眼輪筋の引き上げ固定や、緩んだ下瞼の短縮手術などが必要です(追加には別途料金がかかります)下まぶたまつ毛の下の皮膚を切開するので、術後抜糸が必要です皮膚の切開線はまつ毛の際に隠しますので、お時間が経過すればほとんどわかりません■コンデンスリッチフェイス法とはご自身の脂肪を注入することで、注入箇所にハリと潤いを蘇らせ、ふっくらとして丸みを帯びた健康的な素顔を形成することができますまた採取した脂肪は、遠心分離にかけ、コンデンス(濃縮)技術で不純物を除去、健全な濃縮脂肪細胞=コンデンスリッチファット(CRF) だけを注入するため、高い定着率を実現し、吸引した脂肪を最大限に活かせる若返り法です■ナノリッチコンデンスリッチフェイスをさらに研ぎ澄まし、ナノ化した脂肪注入の方法です脂肪細胞に含まれる繊維組織を除去して滑らかにし、脂肪から極少量しか取れない研ぎ澄まされた良質な幹細胞と小さな脂肪からなる不純物の少ない極小脂肪を注入します。顔の浅いしわや色味、肌質の改善が期待できますまぶたなどの薄い皮膚にも注入でき、目のくぼみや目の下のたるみ・クマにも有効ですまた、当院では複数の注入口から注入するクリスクロス法を採用しており、肌に生じる凸凹を防いで滑らかで自然に仕上げます。永続的な効果が期待できる究極の若返り術です*ーーーーーーーーーーーーーーーーーーー*アイバックリムーブ法 症例件数 No.3(2023年下半期 九州沖縄エリア SBC内)*ーーーーーーーーーーーーーーーーーーー*庄聡史医師は、話しやすいカウンセリングを大切にしていますお悩みやご心配なことがございましたら、ご遠慮なくカウンセリングでご相談くださいませ湘南美容クリニック大分院0120-883-156(受付時間 10:00~23:00)
施術担当者からのコメント
ご覧いただきありがとうございます
湘南美容クリニック大分院 庄聡史です
■アイバックリムーブ法とは
目の下の余剰皮膚切除&眼窩脂肪除去を行い目袋と皮膚のたるみを改善する方法です
下瞼を支える力が弱い人には、眼輪筋の引き上げ固定や、緩んだ下瞼の短縮手術などが必要です(追加には別途料金がかかります)
下まぶたまつ毛の下の皮膚を切開するので、術後抜糸が必要です
皮膚の切開線はまつ毛の際に隠しますので、お時間が経過すればほとんどわかりません
■コンデンスリッチフェイス法とは
ご自身の脂肪を注入することで、注入箇所にハリと潤いを蘇らせ、ふっくらとして丸みを帯びた健康的な素顔を形成することができます
また採取した脂肪は、遠心分離にかけ、コンデンス(濃縮)技術で不純物を除去、健全な濃縮脂肪細胞=コンデンスリッチファット(CRF) だけを注入するため、高い定着率を実現し、吸引した脂肪を最大限に活かせる若返り法です
■ナノリッチ
コンデンスリッチフェイスをさらに研ぎ澄まし、ナノ化した脂肪注入の方法です
脂肪細胞に含まれる繊維組織を除去して滑らかにし、脂肪から極少量しか取れない研ぎ澄まされた良質な幹細胞と小さな脂肪からなる不純物の少ない極小脂肪を注入します。顔の浅いしわや色味、肌質の改善が期待できます
まぶたなどの薄い皮膚にも注入でき、目のくぼみや目の下のたるみ・クマにも有効です
また、当院では複数の注入口から注入するクリスクロス法を採用しており、肌に生じる凸凹を防いで滑らかで自然に仕上げます。
永続的な効果が期待できる究極の若返り術です
*ーーーーーーーーーーーーーーーーーーー*
アイバックリムーブ法 症例件数 No.3
(2023年下半期 九州沖縄エリア SBC内)
*ーーーーーーーーーーーーーーーーーーー*
庄聡史医師は、話しやすいカウンセリングを大切にしています
お悩みやご心配なことがございましたら、ご遠慮なくカウンセリングでご相談くださいませ
湘南美容クリニック大分院
0120-883-156(受付時間 10:00~23:00)