症例写真(No.327893)

当院の症例写真は、画像処理により形や大きさをかえるような処理は一切おこなっておりません。

坂西寛信 医師

No.327893【若返り】【SBC統括技術指導医/横浜東口院】美容外科専門医ベテランドクターによる切らない目の下のクマ治療!症例写真8000枚超☆3年連続!!! SBC award 最優秀賞 受賞ドクター坂西執刀♪『裏ハムラ法(経結膜眼窩脂肪移動術/再配置)』

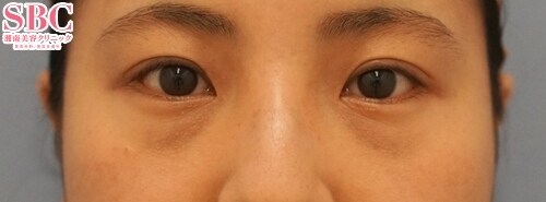
施術前

25歳の女性です
→

施術後術直後

手術直後の腫れはこの程度です
すべての画像を見る

施術した院

部位

施術

施術回数

数量

性別

施術担当者からのコメント

湘南美容クリニック 統括技術指導医 坂西ドクター執刀
【裏ハムラ法(経皮的眼窩脂肪移動術/再配置)】

400名以上のドクターが在籍する
湘南美容クリニックを代表するレジェンドドクター
実績・センスから多くのお客様に指名される
高度な技術を持つドクターであり
統括技術指導医として湘南美容クリニックのドクター技術教育も担っています。

★リガメント剥離
→ティアトラフの原因を解除
★下斜筋リリース
→術後の眼精疲労を軽減
★眼窩脂肪再配置
→内固定で後戻り無し
★隔膜再建/タイトニング
→クマ再発を予防
★結膜縫合
→術後の下眼瞼内反防止

坂西ドクターは裏ハムラ法の手術で、5つの高度なテクニックを使用してます。
同じ名前の手術でも、クオリティーが違います。

眼輪筋の形、眼窩脂肪の量、皮膚の厚さから
徹底した最高峰の技術・理論で
『貴方に似合った目の下のクマの解消方法』
を導き出します!

目の下のクマ治療で綺麗になりたいなら、
統括技術指導医である坂西ドクターへご相談下さい。

執刀医:坂西寛信
●SBC技術教育統括/統括技術指導医
●湘南美容クリニック新宿南口院勤務→4/1〜 横浜東口院へ異動予定
●日本美容外科学会専門医(JSAS)/正会員(JSAPS)
●日本抗加齢医学会専門医
●日本形成外科学会正会員

【無料カウンセリングのご予約電話】
0120-955-577
受付時間:10:00~23:00 (土・日・祝日も対応)
ご予約のお電話には専門のスタッフが常に対応しております。
カウンセリングや施術、料金などのお問い合わせ等、
お気軽にお尋ねください。

【インスタグラム】
@sbc_saka24(目鼻専門)
@sbc_sakanishi(若返り)
@sbc_sakabody(脂肪吸引/豊胸術)

【YouTube】 「美容外科専門医Dr.坂西【さかにぃチャンネル】」
@dr.sakanishi



×

当院におけるワクチン接種後の治療間隔(ガイドライン)

美容皮膚科、美容外科小手術

前後3日(手術日は含まず)、自覚する副反応がなければ可
安心麻酔を使用するものは接種後1週間は空ける

美容外科中、大手術

前後1週間
副反応が残っている場合は延期
接種部位と手術部位が同じ場合は2週間は空ける

×

お急ぎの方はお電話ください

0120-489-100

受付時間 / 10:00~23:00