美容外科・美容皮膚科・審美歯科なら湘南美容クリニック
電話予約・電話問い合わせ 10:00~22:45対応 番号を通知してお電話ください 0120-489-100
Instagram
LINE
YouTube
公式アプリ
美容皮膚科
あなたに最適な美容メンテナンスをサポートします!
二重整形
これを見たらあなたも思わず二重にしたくなる♡
医療ダイエット
医療ダイエットをしたらマイナス何センチ?リアルな結果を発信中!
若返り
年齢別・お悩み別で「今やるべき美容医療」がわかる美容医療メディア
クマ取り
クマ取り失敗したくない方必見!成功の秘訣満載★
脂肪吸引
美は武器!夜職女性のための美の総合メディア
予約・お問い合わせ
美容外科 MENU
Language
メインメニュー
診療内容一覧
料金一覧
クリニック案内
ドクター一覧
モニター募集
症例写真
よくある質問
当院が選ばれる理由
当院の症例写真は、画像処理により形や大きさをかえるような処理は一切おこなっておりません。
吉田公人 医師
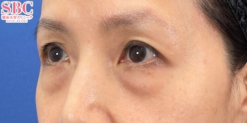
施術前
施術後3ヶ月後
施術した院
部位
施術
施術回数
数量
性別
こちらは「目の下の切らないクマ・たるみ取り」と「ナノリッチ」「コンテ?ンスリッチフェイス」を受けられた50代のお客様の術前と3ヶ月後の経過です?術後はクマがなくなって目元が大変若返りました? 目の下のちりめんじわにはナノリッチが効果的です?クマ治療は年齢や性別を問わず人気な治療です!疲れてないのに「疲れた顔」と言われる方、目元を若返らせたい方は、せ?ひ湘南美容クリニックの吉田公人(まさと)にご相談下さい?---------------------------【実績】? クマ取り症例数西日本エリアNo.1 (2022?2023年上期)? 2024年度リアルドクター神業に出演 (全国医師421名の中から選抜されました)【吉田医師が選ばれる理由】? クマ取り症例数西日本エリアNo.1 (2022?2023年上期)→ 執刀経験数が多いほど、クマ取りの技術力は磨かれていきます。数多くの症例実績に裏付けられた、仕上がりの綺麗さでお友達紹介も多数。? 元脳神経外科医→ 1mm以下の世界で培った道具や指の使い方で、安心安全且つ、スピーディに施術を行い「ダウンタイム最小限」の治療をご提供。? 仕上がりの綺麗さ→ クマ取りは「脂肪を取る量」や「脂肪を入れる位置」など非常に繊細な職人技が必要です。それらが適切でなければ、脂肪注入の際にシコリができてしまったりします。吉田医師は数多くの実績と長年の外科医の経験を生かし、滑らかで綺麗な仕上がりをご提供いたします。・・・instagramやってます・・・インスタにも沢山の症例写真を載せています!是非チェックしてみて下さい♪@sbc_yoshida_masato≪↑↑上の「instagram」アイコンから飛べます↑↑≫
施術担当者からのコメント
こちらは「目の下の切らないクマ・たるみ取り」と「ナノリッチ」「コンテ?ンスリッチフェイス」を受けられた50代のお客様の術前と3ヶ月後の経過です?
術後はクマがなくなって目元が大変若返りました? 目の下のちりめんじわにはナノリッチが効果的です?
クマ治療は年齢や性別を問わず人気な治療です!疲れてないのに「疲れた顔」と言われる方、目元を若返らせたい方は、せ?ひ湘南美容クリニックの吉田公人(まさと)にご相談下さい?
---------------------------
【実績】
? クマ取り症例数西日本エリアNo.1 (2022?2023年上期)
? 2024年度リアルドクター神業に出演 (全国医師421名の中から選抜されました)
【吉田医師が選ばれる理由】
? クマ取り症例数西日本エリアNo.1 (2022?2023年上期)
→ 執刀経験数が多いほど、クマ取りの技術力は磨かれていきます。
数多くの症例実績に裏付けられた、仕上がりの綺麗さでお友達紹介も多数。
? 元脳神経外科医
→ 1mm以下の世界で培った道具や指の使い方で、安心安全且つ、スピーディに施術を行い「ダウンタイム最小限」の治療をご提供。
? 仕上がりの綺麗さ
→ クマ取りは「脂肪を取る量」や「脂肪を入れる位置」など非常に繊細な職人技が必要です。
それらが適切でなければ、脂肪注入の際にシコリができてしまったりします。
吉田医師は数多くの実績と長年の外科医の経験を生かし、滑らかで綺麗な仕上がりをご提供いたします。
・・・instagramやってます・・・
インスタにも沢山の症例写真を載せています!
是非チェックしてみて下さい♪
@sbc_yoshida_masato
≪↑↑上の「instagram」アイコンから飛べます↑↑≫