美容外科・美容皮膚科・審美歯科なら湘南美容クリニック
電話予約・電話問い合わせ 10:00~22:45対応 番号を通知してお電話ください 0120-489-100
Instagram
LINE
YouTube
公式アプリ
美容皮膚科
あなたに最適な美容メンテナンスをサポートします!
二重整形
これを見たらあなたも思わず二重にしたくなる♡
医療ダイエット
医療ダイエットをしたらマイナス何センチ?リアルな結果を発信中!
若返り
年齢別・お悩み別で「今やるべき美容医療」がわかる美容医療メディア
クマ取り
クマ取り失敗したくない方必見!成功の秘訣満載★
脂肪吸引
美は武器!夜職女性のための美の総合メディア
予約・お問い合わせ
美容外科 MENU
Language
メインメニュー
診療内容一覧
料金一覧
クリニック案内
ドクター一覧
モニター募集
症例写真
よくある質問
当院が選ばれる理由
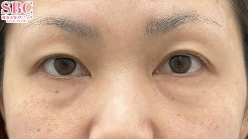
当院の症例写真は、画像処理により形や大きさをかえるような処理は一切おこなっておりません。
中溝晃規 医師
施術前
施術後3ヶ月後
施術した院
部位
施術
施術回数
数量
性別
影グマの治療としては、脱脂および脂肪注入が一般的ですが、裏ハムラという方法でクマを解決できる方もいらっしゃいます。ふくらみをなくしつつ、深い溝を改善させることができる優れた手術ですが、適応があるかによって仕上がりが変わってきます。診察にお越し頂ければ、何が適した治療かをお伝えしますので、是非お気軽に御相談ください。※クマの治療の詳細についてはブログでも解説していますので、気になる方はそちらものぞいてみてください。☆私が目元整形で選ばれる理由☆�@一人一人に似合うデザインの提案を行います。�Aシミュレーションやデザインは妥協なく時間をかけて行います。�B全切開二重術や目頭切開、眉下切開、クマ取りなど目周りの手術の選択肢が豊富で、老若男女、どんな目元でも対応致します。�C目元症例数が多いだけでなく、輪郭形成や鼻整形なども行えるため、全体のバランスを見た目元治療の提案も可能です。また、目元整形で満足された場合、他の部位の治療もお気軽に御相談頂けます。�D確保できるダウンタイムや予算に応じて何パターンか選択肢をお伝えすることはあっても、不要な治療の提案は絶対にしないため、無駄のない治療選択をサポート致します。モニターご希望の場合も遠慮なく御相談ください。
施術担当者からのコメント
影グマの治療としては、脱脂および脂肪注入が一般的ですが、裏ハムラという方法でクマを解決できる方もいらっしゃいます。
ふくらみをなくしつつ、深い溝を改善させることができる優れた手術ですが、適応があるかによって仕上がりが変わってきます。
診察にお越し頂ければ、何が適した治療かをお伝えしますので、是非お気軽に御相談ください。
※クマの治療の詳細についてはブログでも解説していますので、気になる方はそちらものぞいてみてください。
☆私が目元整形で選ばれる理由☆
�@一人一人に似合うデザインの提案を行います。
�Aシミュレーションやデザインは妥協なく時間をかけて行います。
�B全切開二重術や目頭切開、眉下切開、クマ取りなど目周りの手術の選択肢が豊富で、老若男女、どんな目元でも対応致します。
�C目元症例数が多いだけでなく、輪郭形成や鼻整形なども行えるため、全体のバランスを見た目元治療の提案も可能です。また、目元整形で満足された場合、他の部位の治療もお気軽に御相談頂けます。
�D確保できるダウンタイムや予算に応じて何パターンか選択肢をお伝えすることはあっても、不要な治療の提案は絶対にしないため、無駄のない治療選択をサポート致します。
モニターご希望の場合も遠慮なく御相談ください。