美容外科・美容皮膚科・審美歯科なら湘南美容クリニック
電話予約・電話問い合わせ 10:00~22:45対応 番号を通知してお電話ください 0120-489-100
Instagram
LINE
YouTube
公式アプリ
美容皮膚科
あなたに最適な美容メンテナンスをサポートします!
二重整形
これを見たらあなたも思わず二重にしたくなる♡
医療ダイエット
医療ダイエットをしたらマイナス何センチ?リアルな結果を発信中!
若返り
年齢別・お悩み別で「今やるべき美容医療」がわかる美容医療メディア
クマ取り
クマ取り失敗したくない方必見!成功の秘訣満載★
脂肪吸引
美は武器!夜職女性のための美の総合メディア
予約・お問い合わせ
美容外科 MENU
Language
メインメニュー
診療内容一覧
料金一覧
クリニック案内
ドクター一覧
モニター募集
症例写真
よくある質問
当院が選ばれる理由
当院の症例写真は、画像処理により形や大きさをかえるような処理は一切おこなっておりません。
岡市司 医師
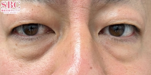
施術前
施術後1ヶ月後
施術した院
部位
施術
施術回数
数量
性別
ご覧いただきありがとうございます!40代後半男性/術前と1ヶ月後の症例写真です。ふくらみがなくなりすっきりと若々しい印象になりました。〈治療内容〉・目の下のたるみ取り直後から腫れ・内出血を最小限に抑えるよう工夫を凝らして丁寧に施術しております。一人ひとりに合ったデザインとお客様のご希望に沿った施術をご提案いたします。目元の若返りなら、岡市にお任せください!皆様のご相談をお待ちしております。=================お問い合わせはお気軽に☆彡湘南美容クリニック松山院Tel:0120-955-744=================
施術担当者からのコメント
ご覧いただきありがとうございます!
40代後半男性/術前と1ヶ月後の症例写真です。
ふくらみがなくなりすっきりと若々しい印象になりました。
〈治療内容〉
・目の下のたるみ取り
直後から腫れ・内出血を最小限に抑えるよう
工夫を凝らして丁寧に施術しております。
一人ひとりに合ったデザインとお客様のご希望に沿った施術をご提案いたします。
目元の若返りなら、岡市にお任せください!
皆様のご相談をお待ちしております。
=================
お問い合わせはお気軽に☆彡
湘南美容クリニック松山院
Tel:0120-955-744
=================