美容外科・美容皮膚科・審美歯科なら湘南美容クリニック
電話予約・電話問い合わせ 10:00~22:45対応 番号を通知してお電話ください 0120-489-100
Instagram
LINE
YouTube
公式アプリ
美容皮膚科
あなたに最適な美容メンテナンスをサポートします!
二重整形
これを見たらあなたも思わず二重にしたくなる♡
医療ダイエット
医療ダイエットをしたらマイナス何センチ?リアルな結果を発信中!
若返り
年齢別・お悩み別で「今やるべき美容医療」がわかる美容医療メディア
クマ取り
クマ取り失敗したくない方必見!成功の秘訣満載★
脂肪吸引
美は武器!夜職女性のための美の総合メディア
予約・お問い合わせ
美容外科 MENU
Language
メインメニュー
診療内容一覧
料金一覧
クリニック案内
ドクター一覧
モニター募集
症例写真
よくある質問
当院が選ばれる理由
当院の症例写真は、画像処理により形や大きさをかえるような処理は一切おこなっておりません。
大川隆一朗 医師
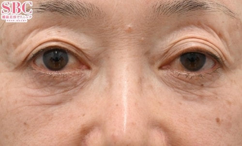
施術前
施術後1ヶ月後
施術した院
部位
施術
施術回数
数量
性別
松戸院院長の大川隆一朗です。写真は長年の目の下のクマ、たるみを気にされてご来院下さったお客様です。★施術内容ーーーーーーーーーーーーーーーーーーーーーーーーーーーーーーーーーーーーーーーーーーーーーーーーー切開ハムラ法術前/術後1ヶ月60代前半・女性のモニター様目元のたるみジワが綺麗に無くなりましたね!勇気を出して施術を受けていただきお客様も大満足でした!★こだわりーーーーーーーーーーーーーーーーーーーーーーーーーーーーーーーーーーーーーーーーーーーーーーーーーー切開ハムラ法は脂肪の移動と余った皮膚の減量を同時に行います。ミドル世代以降の方で目元のたるみがある方にお勧めです。また脂肪の移動によって凹凸の改善ができるため、痩せ型の方や脂肪注入の併用が要らないのも利点です。お客様の明日が今日よりも良くなるよう力を尽くします。クマ取りには様々な施術がございますが、お客様のなりたい姿を共有しベストな施術を提案させて頂きます。悩みは本当に人それぞれです。気になることはカウンセリング時にじっくりお話ししましょう。お待ちしています♪★お知らせーーーーーーーーーーーーーーーーーーーーーーーーーーーーーーーーーーーーーーーーーーーーーーーーーー【クマ取り他、お得なモニター様を募集中】下の モニター募集をみる からご応募ください♪【Instagram】【TikTok】【YouTube】症例や解説など多数掲載しております、下のリンクからご覧ください!フォロー、コメント頂けますと大変励みになります。★プロフィールーーーーーーーーーーーーーーーーーーーーーーーーーーーーーーーーーーーーーーーーーーーーーーー湘南美容クリニック松戸院院長 大川隆一朗診療時間 9:00?18:00 (元旦のみ休診)☆慶應義塾大学医学部卒☆クマ取り症例数 関東No.3(SBC内2023下半期、アイバックリムーブ法)☆埋没二重症例数 関東No.1(SBC内2023上半期、フォーエバー二重)☆若返り治療症例数 関東No.1(SBC内2023上半期、プロファイロ)千葉県松戸市松戸1307-1 松戸ビル2階(キテミテマツドの【隣】のビルです、ご注意ください!)【上野東京ライン・常磐線・新京成線】松戸駅より徒歩3分
施術担当者からのコメント
松戸院院長の大川隆一朗です。
写真は長年の目の下のクマ、たるみを気にされてご来院下さったお客様です。
★施術内容ーーーーーーーーーーーーーーーーーーーーーーーーーーーーーーーーーーーーーーーーーーーーーーーーー
切開ハムラ法
術前/術後1ヶ月
60代前半・女性のモニター様
目元のたるみジワが綺麗に無くなりましたね!
勇気を出して施術を受けていただきお客様も大満足でした!
★こだわりーーーーーーーーーーーーーーーーーーーーーーーーーーーーーーーーーーーーーーーーーーーーーーーーーー
切開ハムラ法は脂肪の移動と余った皮膚の減量を同時に行います。
ミドル世代以降の方で目元のたるみがある方にお勧めです。
また脂肪の移動によって凹凸の改善ができるため、痩せ型の方や脂肪注入の併用が要らないのも利点です。
お客様の明日が今日よりも良くなるよう力を尽くします。
クマ取りには様々な施術がございますが、お客様のなりたい姿を共有しベストな施術を提案させて頂きます。
悩みは本当に人それぞれです。気になることはカウンセリング時にじっくりお話ししましょう。
お待ちしています♪
★お知らせーーーーーーーーーーーーーーーーーーーーーーーーーーーーーーーーーーーーーーーーーーーーーーーーーー
【クマ取り他、お得なモニター様を募集中】
下の モニター募集をみる からご応募ください♪
【Instagram】【TikTok】【YouTube】
症例や解説など多数掲載しております、下のリンクからご覧ください!
フォロー、コメント頂けますと大変励みになります。
★プロフィールーーーーーーーーーーーーーーーーーーーーーーーーーーーーーーーーーーーーーーーーーーーーーーー
湘南美容クリニック松戸院
院長 大川隆一朗
診療時間 9:00?18:00 (元旦のみ休診)
☆慶應義塾大学医学部卒
☆クマ取り症例数 関東No.3(SBC内2023下半期、アイバックリムーブ法)
☆埋没二重症例数 関東No.1(SBC内2023上半期、フォーエバー二重)
☆若返り治療症例数 関東No.1(SBC内2023上半期、プロファイロ)
千葉県松戸市松戸1307-1 松戸ビル2階
(キテミテマツドの【隣】のビルです、ご注意ください!)
【上野東京ライン・常磐線・新京成線】松戸駅より徒歩3分