美容外科・美容皮膚科・審美歯科なら湘南美容クリニック
電話予約・電話問い合わせ 10:00~22:45対応 番号を通知してお電話ください 0120-489-100
Instagram
LINE
YouTube
公式アプリ
美容皮膚科
あなたに最適な美容メンテナンスをサポートします!
二重整形
これを見たらあなたも思わず二重にしたくなる♡
医療ダイエット
医療ダイエットをしたらマイナス何センチ?リアルな結果を発信中!
若返り
年齢別・お悩み別で「今やるべき美容医療」がわかる美容医療メディア
クマ取り
クマ取り失敗したくない方必見!成功の秘訣満載★
脂肪吸引
美は武器!夜職女性のための美の総合メディア
予約・お問い合わせ
美容外科 MENU
Language
メインメニュー
診療内容一覧
料金一覧
クリニック案内
ドクター一覧
モニター募集
症例写真
よくある質問
当院が選ばれる理由
当院の症例写真は、画像処理により形や大きさをかえるような処理は一切おこなっておりません。
高川裕也 医師
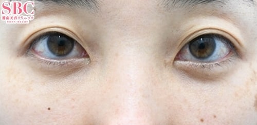
施術前
施術後1ヶ月後
施術した院
部位
施術
施術回数
数量
性別
【目の下の切らないクマ・たるみ取り+SBCプレミアムPRP】今回は、目の下の切らないクマ・たるみ取り+SBCプレミアムPRPの30代女性の症例です。お顔表面を切らずに目の下の余分な脂肪を取り除き、ハリのある生き生きとした目元にする施術が【目の下の切らないクマ取り】です。この方法では、お顔の表面に傷を付けずに悩みのクマを解消でき、お値段もお手頃でで非常に満足度が高い施術です。インスタグラムも是非ご覧ください。たくさんの症例写真を掲載しております!!名古屋駅本院Instagramhttps://www.instagram.com/sbc_nagoyastation/高川Dr(二重)Instagramhttps://www.instagram.com/sbc_tg/高川Dr(若返り)Instagramhttps://www.instagram.com/sbc_tg_kuma/YouTubeやってます★毎週土曜更新★「Dr.てぃーじー」こちらも宜しくお願いします!https://www.youtube.com/channel/UC5DWn0h7r8GuNTXEVOnCdKQDr高川&名古屋駅本院ブログ↓予約情報発信しております↓https://ameblo.jp/dr-takagawa
施術担当者からのコメント
【目の下の切らないクマ・たるみ取り+SBCプレミアムPRP】
今回は、目の下の切らないクマ・たるみ取り+SBCプレミアムPRPの30代女性の症例です。
お顔表面を切らずに目の下の余分な脂肪を取り除き、ハリのある生き生きとした目元にする施術が【目の下の切らないクマ取り】です。この方法では、お顔の表面に傷を付けずに悩みのクマを解消でき、お値段もお手頃でで非常に満足度が高い施術です。
インスタグラムも是非ご覧ください。
たくさんの症例写真を掲載しております!!
名古屋駅本院Instagram
https://www.instagram.com/sbc_nagoyastation/
高川Dr(二重)Instagram
https://www.instagram.com/sbc_tg/
高川Dr(若返り)Instagram
https://www.instagram.com/sbc_tg_kuma/
YouTubeやってます★毎週土曜更新★
「Dr.てぃーじー」こちらも宜しくお願いします!
https://www.youtube.com/channel/UC5DWn0h7r8GuNTXEVOnCdKQ
Dr高川&名古屋駅本院ブログ
↓予約情報発信しております↓
https://ameblo.jp/dr-takagawa