美容外科・美容皮膚科・審美歯科なら湘南美容クリニック
電話予約・電話問い合わせ 10:00~22:45対応 番号を通知してお電話ください 0120-489-100
Instagram
LINE
YouTube
公式アプリ
美容皮膚科
あなたに最適な美容メンテナンスをサポートします!
二重整形
これを見たらあなたも思わず二重にしたくなる♡
医療ダイエット
医療ダイエットをしたらマイナス何センチ?リアルな結果を発信中!
若返り
年齢別・お悩み別で「今やるべき美容医療」がわかる美容医療メディア
クマ取り
クマ取り失敗したくない方必見!成功の秘訣満載★
脂肪吸引
美は武器!夜職女性のための美の総合メディア
予約・お問い合わせ
美容外科 MENU
Language
メインメニュー
診療内容一覧
料金一覧
クリニック案内
ドクター一覧
モニター募集
症例写真
よくある質問
当院が選ばれる理由
当院の症例写真は、画像処理により形や大きさをかえるような処理は一切おこなっておりません。
中山昌大 医師
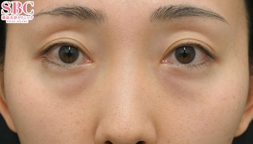
施術前
施術後3ヶ月後
施術後1週間後
施術した院
部位
施術
施術回数
数量
性別
<30代女性・目の下の膨らみが気になる方>施術内容:目の下の切らないたるみとり+脂肪注入(CRF:目の下からゴルゴライン)クマ取りと脂肪注入(CRF)のみのお客様です目の下の膨らみと、膨らみによる赤みが目立っていて疲れた印象になってしまっていました。膨らみは目の下のクマ・たるみとりで改善し、脂肪注入を併用することで滑らかな目の下から頬のラインを実現しました。目まわりがふっくらして若々しい印象になりましたねお悩みがあればまずはご相談ください。Dr.まーとんこと蒲田院院長の中山昌大医師にお任せください。丁寧なカウンセリング、診察に評価あります!安心してご来院ください。◆ご指名頂ければモニター審査優遇致します!◆お電話、web、DM等でお問い合わせ下さいませ。【目の下の切らないクマ・たるみ取りモニター】(モニター番号:088-0220)◆◆◆◆◆◆◆◆◆◆◆◆◆◆◆湘南美容クリニック東京蒲田院Reservation: 0120-955-911Doctor:Masahiro Nakayama◆◆◆◆◆◆◆◆◆◆◆◆◆◆◆
施術担当者からのコメント
<30代女性・目の下の膨らみが気になる方>
施術内容:目の下の切らないたるみとり+脂肪注入(CRF:目の下からゴルゴライン)
クマ取りと脂肪注入(CRF)のみのお客様です
目の下の膨らみと、膨らみによる赤みが目立っていて疲れた印象になってしまっていました。
膨らみは目の下のクマ・たるみとりで改善し、
脂肪注入を併用することで滑らかな目の下から頬のラインを
実現しました。
目まわりがふっくらして若々しい印象になりましたね
お悩みがあればまずはご相談ください。
Dr.まーとんこと蒲田院院長の中山昌大医師にお任せください。
丁寧なカウンセリング、診察に評価あります!
安心してご来院ください。
◆ご指名頂ければモニター審査優遇致します!◆
お電話、web、DM等でお問い合わせ下さいませ。
【目の下の切らないクマ・たるみ取りモニター】
(モニター番号:088-0220)
◆◆◆◆◆◆◆◆◆◆◆◆◆◆◆
湘南美容クリニック東京蒲田院
Reservation: 0120-955-911
Doctor:Masahiro Nakayama
◆◆◆◆◆◆◆◆◆◆◆◆◆◆◆