美容外科・美容皮膚科・審美歯科なら湘南美容クリニック
電話予約・電話問い合わせ 10:00~22:45対応 番号を通知してお電話ください 0120-489-100
Instagram
LINE
YouTube
公式アプリ
美容皮膚科
あなたに最適な美容メンテナンスをサポートします!
二重整形
これを見たらあなたも思わず二重にしたくなる♡
医療ダイエット
医療ダイエットをしたらマイナス何センチ?リアルな結果を発信中!
若返り
年齢別・お悩み別で「今やるべき美容医療」がわかる美容医療メディア
クマ取り
クマ取り失敗したくない方必見!成功の秘訣満載★
脂肪吸引
美は武器!夜職女性のための美の総合メディア
予約・お問い合わせ
美容外科 MENU
Language
メインメニュー
診療内容一覧
料金一覧
クリニック案内
ドクター一覧
モニター募集
症例写真
よくある質問
当院が選ばれる理由
当院の症例写真は、画像処理により形や大きさをかえるような処理は一切おこなっておりません。
菅原佑太 医師
施術前
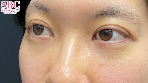
施術後1週間後
施術した院
部位
施術
施術回数
数量
性別
30代女性。目の下のふくらみが気になり、来院されました。手術でパニックになってしまうことがあり、相談に行くか不安だったそうですが、湘南美容クリニックは、他社と比べ、麻酔の種類が多かったことから、選んでいただいたそうです。目の下の凹み、しわはあまり目立たず、目の下の切らないくま取りのみで施術させていただきました。1週間でも、内出血は目立たず、きれいな目元になっています。かなり目元の印象がよくなっているのがわかります。目の下に関しては、取る脂肪と、入れる脂肪は、部位が異なるため、どちらかのみで良い方もいますが、多くの方は、両方の施術を併用することで、より綺麗な目元になっていきます。皮膚のたるみ具合や、気になる色味によっては、ほかの施術をご案内することもあります。また、脂肪注入が必要な場合、一般的に脂肪の定着率は半分以下のことが多いですが、横浜東口院には、リジェネラという、定着率を上げる機械も常設しています。できる限り一度で脂肪注入を終わらせたい、何回も手術したくない、安心安全な自分の組織で定着率をぐっと上げたい、そんな方にオススメです。今後より馴染んでいくのが楽しみですね!手術お疲れさまでした!
施術担当者からのコメント
30代女性。目の下のふくらみが気になり、来院されました。手術でパニックになってしまうことがあり、相談に行くか不安だったそうですが、湘南美容クリニックは、他社と比べ、麻酔の種類が多かったことから、選んでいただいたそうです。目の下の凹み、しわはあまり目立たず、目の下の切らないくま取りのみで施術させていただきました。1週間でも、内出血は目立たず、きれいな目元になっています。かなり目元の印象がよくなっているのがわかります。目の下に関しては、取る脂肪と、入れる脂肪は、部位が異なるため、どちらかのみで良い方もいますが、多くの方は、両方の施術を併用することで、より綺麗な目元になっていきます。皮膚のたるみ具合や、気になる色味によっては、ほかの施術をご案内することもあります。また、脂肪注入が必要な場合、一般的に脂肪の定着率は半分以下のことが多いですが、横浜東口院には、リジェネラという、定着率を上げる機械も常設しています。できる限り一度で脂肪注入を終わらせたい、何回も手術したくない、安心安全な自分の組織で定着率をぐっと上げたい、そんな方にオススメです。今後より馴染んでいくのが楽しみですね!手術お疲れさまでした!