症例写真(No.330002)

当院の症例写真は、画像処理により形や大きさをかえるような処理は一切おこなっておりません。

出口洸平 医師

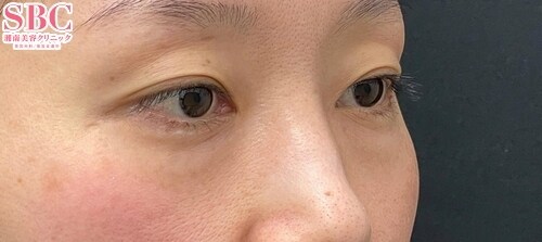
No.330002【若返り】目の下のクマを無くす!「疲れ目」から解放されませんか?新潟院なら選べる脱脂・脂肪注入・裏ハムラ!

施術前

術前
→

施術後1ヶ月後

術後
すべての画像を見る

施術した院

部位

施術

施術回数

数量

性別

施術担当者からのコメント

目の下のクマがなくなると印象が変わります!
疲れた感は無くなり
明るく華やかな目元に変わりましたね!
目の下が凹みやすい方はリッチフェイスと言う脂肪注入を併用すると半永久的に若々しいお目元に。
新潟院なら裏ハムラ法も選べます!突出した脂肪を取らずに、目の下の窪みへ”移動“しトータルでクマを改善する施術です。

無料カウンセリングにて
お客様の目の状態に合わせて最適解の瀬術をご提案させて頂きます。

【こんなお悩みありませんか?】
・鏡を見たときに「目の下に線・影」ができている
・疲れてないのに「最近疲れてる?」とよく言われる
・化粧してもクマを隠せない
・昔から目の下が気になっている

日帰りでお施術ができます^^

ドクター出口なら親切・丁寧・早い・美しいオペ!
モニター様価格もござまいます。
今すぐお申し込み下さいませ!



×

当院におけるワクチン接種後の治療間隔(ガイドライン)

美容皮膚科、美容外科小手術

前後3日(手術日は含まず)、自覚する副反応がなければ可
安心麻酔を使用するものは接種後1週間は空ける

美容外科中、大手術

前後1週間
副反応が残っている場合は延期
接種部位と手術部位が同じ場合は2週間は空ける