お急ぎの方はお電話ください
WEB予約
メンズ専用
LINE登録
オンラインストア
SBC e Gift
SBC公式アプリ
SBC 採用サイト
医療機関検索サイトアイメッド
定額制セルフエステ
当院の症例写真は、画像処理により形や大きさをかえるような処理は一切おこなっておりません。
菅原佑太 医師
施術前
施術後1週間後
施術した院
部位
施術
施術回数
数量
性別
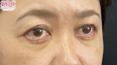
40代女性。目の下のふくらみが気になり、来院されました。長年のくまにより、たるみも出ていたため、切るくまとり(アイバックリムーブ法)で施術させていただきました。切る手術となると、傷跡が気になる方も多いですが、目の下はもともと、傷が分かりにくくなりやすく、さらに、術者の技術・工夫により、1週間でも相当わかりにくくできます。ここからさらに腫れが落ち着き、傷跡もなじんでくると、手術したことは周りからまったくわからないと思います。目の下に関しては、切らないくまとり+脂肪注入や、ハムラ法、アイバックリムーブ法など、多くの治療方法があります。くまとり+脂肪注入は手軽にできる手術として、医師がお客様にすすめやすい施術ではありますが、脂肪定着の不安定性や、へこみの十分な改善ができないこともあります。アイバックリムーブ法は、目の下の膨らみ・たるみ両方にアプローチできますが、医師の技量が必要な手術で、案内できる医師は限られています。どの施術が自分にとって一番適しているのか、それは、すべての施術ができるドクターにしかわかりません。ぜひ、私にお任せください。最高の手術で、値段以上の効果をお約束します。カウンセリングは無料ですので、ぜひ一度、相談にいらしてください。
前後3日(手術日は含まず)、自覚する副反応がなければ可安心麻酔を使用するものは接種後1週間は空ける
前後1週間副反応が残っている場合は延期接種部位と手術部位が同じ場合は2週間は空ける
施術担当者からのコメント
40代女性。目の下のふくらみが気になり、来院されました。長年のくまにより、たるみも出ていたため、切るくまとり(アイバックリムーブ法)で施術させていただきました。切る手術となると、傷跡が気になる方も多いですが、目の下はもともと、傷が分かりにくくなりやすく、さらに、術者の技術・工夫により、1週間でも相当わかりにくくできます。ここからさらに腫れが落ち着き、傷跡もなじんでくると、手術したことは周りからまったくわからないと思います。目の下に関しては、切らないくまとり+脂肪注入や、ハムラ法、アイバックリムーブ法など、多くの治療方法があります。くまとり+脂肪注入は手軽にできる手術として、医師がお客様にすすめやすい施術ではありますが、脂肪定着の不安定性や、へこみの十分な改善ができないこともあります。アイバックリムーブ法は、目の下の膨らみ・たるみ両方にアプローチできますが、医師の技量が必要な手術で、案内できる医師は限られています。どの施術が自分にとって一番適しているのか、それは、すべての施術ができるドクターにしかわかりません。ぜひ、私にお任せください。最高の手術で、値段以上の効果をお約束します。カウンセリングは無料ですので、ぜひ一度、相談にいらしてください。