美容外科・美容皮膚科・審美歯科なら湘南美容クリニック
電話予約・電話問い合わせ 10:00~22:45対応 番号を通知してお電話ください 0120-489-100
Instagram
LINE
YouTube
公式アプリ
美容皮膚科
あなたに最適な美容メンテナンスをサポートします!
二重整形
これを見たらあなたも思わず二重にしたくなる♡
医療ダイエット
医療ダイエットをしたらマイナス何センチ?リアルな結果を発信中!
若返り
年齢別・お悩み別で「今やるべき美容医療」がわかる美容医療メディア
クマ取り
クマ取り失敗したくない方必見!成功の秘訣満載★
脂肪吸引
美は武器!夜職女性のための美の総合メディア
予約・お問い合わせ
美容外科 MENU
Language
メインメニュー
診療内容一覧
料金一覧
クリニック案内
ドクター一覧
モニター募集
症例写真
よくある質問
当院が選ばれる理由
当院の症例写真は、画像処理により形や大きさをかえるような処理は一切おこなっておりません。
菅原佑太 医師
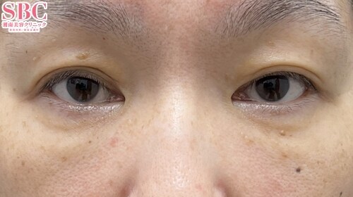
施術前
施術後1週間後
施術した院
部位
施術
施術回数
数量
性別
50代女性。目の下のふくらみが気になり、来院されました。膨らみの下にある、目の下からゴルゴラインにかけての凹みも強かったため、脂肪注入を併用しました。また、目の上の凹みも出てきており、くまとり後に凹みが悪化することが予想されたため、目の上にも脂肪注入をしています。【施術内容】目の下の切らないくま取りコンデンスリッチフェイス(目の下〜ゴルゴ、目の上)ミニマムダウンタイムオプション皮膚のたるみもあったため、皮膚切開併用でもよかったと思います。そこまでの希望はなく、取る量をコントロールし、若返りを図っています。一定の効果はあったかと思います。ご本人にも、若返ったと喜んでいただけました。手術お疲れさまでした!目の下に関しては、取る脂肪と、入れる脂肪は、部位が異なるため、どちらかのみで良い方もいますが、多くの方は、両方の施術を併用することで、より綺麗な目元になっていきます。皮膚のたるみ具合や、気になる色味によっては、切開ハムラ、裏ハムラ、アイバックリムーブなど、ほかの施術をご案内することもあります。また、脂肪注入が必要な場合、一般的に脂肪の定着率は半分以下のことが多いですが、横浜東口院には、リジェネラという、定着率を上げる機械も常設しています。できる限り一度で脂肪注入を終わらせたい、何回も手術したくない、安心安全な自分の組織で定着率をぐっと上げたい、そんな方にオススメです。カウンセリングは無料ですので、いつでもご相談ください。「菅原医師のカウンセリング希望、モニター希望」など、と伝えいただくと、スムーズです。0120-955-799モニターNo.098-0361モニター料金 79,100円〜(切らないくまとりのみの場合)
施術担当者からのコメント
50代女性。目の下のふくらみが気になり、来院されました。膨らみの下にある、目の下からゴルゴラインにかけての凹みも強かったため、脂肪注入を併用しました。また、目の上の凹みも出てきており、くまとり後に凹みが悪化することが予想されたため、目の上にも脂肪注入をしています。
【施術内容】
目の下の切らないくま取り
コンデンスリッチフェイス(目の下〜ゴルゴ、目の上)
ミニマムダウンタイムオプション
皮膚のたるみもあったため、皮膚切開併用でもよかったと思います。そこまでの希望はなく、取る量をコントロールし、若返りを図っています。一定の効果はあったかと思います。ご本人にも、若返ったと喜んでいただけました。手術お疲れさまでした!
目の下に関しては、取る脂肪と、入れる脂肪は、部位が異なるため、どちらかのみで良い方もいますが、多くの方は、両方の施術を併用することで、より綺麗な目元になっていきます。皮膚のたるみ具合や、気になる色味によっては、切開ハムラ、裏ハムラ、アイバックリムーブなど、ほかの施術をご案内することもあります。また、脂肪注入が必要な場合、一般的に脂肪の定着率は半分以下のことが多いですが、横浜東口院には、リジェネラという、定着率を上げる機械も常設しています。できる限り一度で脂肪注入を終わらせたい、何回も手術したくない、安心安全な自分の組織で定着率をぐっと上げたい、そんな方にオススメです。
カウンセリングは無料ですので、いつでもご相談ください。「菅原医師のカウンセリング希望、モニター希望」など、と伝えいただくと、スムーズです。
0120-955-799
モニターNo.098-0361
モニター料金 79,100円〜(切らないくまとりのみの場合)