症例写真(No.331340)

当院の症例写真は、画像処理により形や大きさをかえるような処理は一切おこなっておりません。

井田翔太 医師

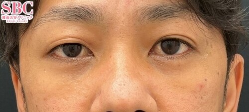
No.331340【若返り】【目の下の切らないクマ取り】一週間で仕上げるダウンタイムの少ないクマ取り!

施術前

術前です。
→

施術後1週間後

術後1週間です。
すべての画像を見る

施術した院

部位

施術

施術回数

数量

性別

施術担当者からのコメント

目の下のクマやたるみは、加齢と共に目の周りの脂肪が前に出てくることが原因です。本施術は、その脂肪を下まぶたの裏側から取り出すことで、クマやたるみを改善する施術です。
写真は30代男性の方です。クマ取り(脱脂術)のみを行い、術後1週間の時点で目立った腫れや内出血なく、クマも写真の通りきれいになりました。術中の丁寧な操作や麻酔の注入量等を工夫し、手術直後から腫れの少ない仕上がりを目指しています。
他にもご要望に応じて様々な術式をご提案させていただきますので、ぜひお気軽に無料カウンセリングにお越しください。



×

当院におけるワクチン接種後の治療間隔(ガイドライン)

美容皮膚科、美容外科小手術

前後3日(手術日は含まず)、自覚する副反応がなければ可
安心麻酔を使用するものは接種後1週間は空ける

美容外科中、大手術

前後1週間
副反応が残っている場合は延期
接種部位と手術部位が同じ場合は2週間は空ける