美容外科・美容皮膚科・審美歯科なら湘南美容クリニック
電話予約・電話問い合わせ 10:00~22:45対応 番号を通知してお電話ください 0120-489-100
Instagram
LINE
YouTube
公式アプリ
美容皮膚科
あなたに最適な美容メンテナンスをサポートします!
二重整形
これを見たらあなたも思わず二重にしたくなる♡
医療ダイエット
医療ダイエットをしたらマイナス何センチ?リアルな結果を発信中!
若返り
年齢別・お悩み別で「今やるべき美容医療」がわかる美容医療メディア
クマ取り
クマ取り失敗したくない方必見!成功の秘訣満載★
脂肪吸引
美は武器!夜職女性のための美の総合メディア
予約・お問い合わせ
美容外科 MENU
Language
メインメニュー
診療内容一覧
料金一覧
クリニック案内
ドクター一覧
モニター募集
症例写真
よくある質問
当院が選ばれる理由
当院の症例写真は、画像処理により形や大きさをかえるような処理は一切おこなっておりません。
金沢豪 医師
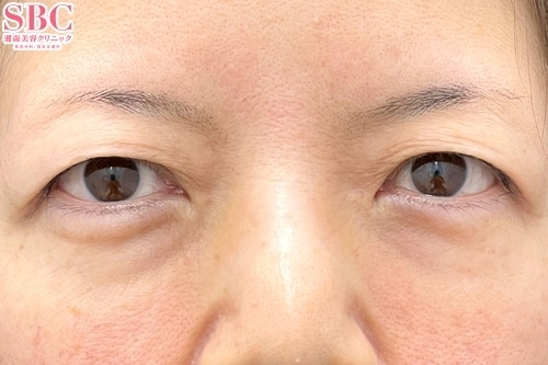
施術前
施術後3ヶ月後
施術した院
部位
施術
施術回数
数量
性別
57歳女性?今回行ったオペはSNSでも話題の<裏ハムラ法>という、まぶたの裏から眼窩脂肪を取らずに目の下に移動、固定させる事で脂肪注入無しでもクマを改善ができる治療です◎再発予防効果も高いですね^_^無駄な治療を削ぎ落とし、かつ最大限の効果が得られて大変お喜び頂きました!??年齢的には40歳以下の方が良い適応となる場合が多い術式です。?-----?【超スゴ腕ドクターの圧倒的症例数】切るクマ治療<アイバックリムーブ>症例数全国No.1(SBC2023年上半期)切るクマ治療<切開ハムラ>症例数全国No.1(SBC2023年下半期)切らないクマ治療<裏ハムラ>症例数中四国No.1(SBC2023年下半期)若返り<お顔の脂肪注入>西日本No.1(SBC2022年下半期)?この手術は難易度が高く、できる医師は限られます。?「他院では脱脂で良いと言われた」とお客様から聞きますが、ハムラ法までしっかり行える医師が適応を見極めてはじめて言えるセリフですよね。?脱脂に高いお金を払う前に私のところにみせにきてくださいね。??また、裏ハムラが流行すると、残念ながら世の中には裏ハムラと謳って料金を頂き、実際は脱脂して脂肪注入で凹みを誤魔化すという詐欺行為も行われているとか…外科医としてあり得ない行為だし信じたくないですが…脂肪注入や、追加の〇〇注射、〇〇レーザーなど推し勧めてくる場合は要注意です。?私はクマ治療を全て行える数少ない美容外科医であり、経結膜脱脂、脂肪注入、裏ハムラ、アイバックリムーブ、切開ハムラ、眼輪筋弁吊り上げ、修正手術までクマ治療を全てご案内可能です◎適応を見極め、最適なご案内をしております!?※ちなみに、茶クマ(色素沈着)は完全には消えません><・目の下を触らない・擦らない・紫外線避ける・保湿この3つが大切です。?もちろん、怖くて切りたくない方は切らずにできるだけ綺麗にする事も可能なので、是非ご相談ください。
施術担当者からのコメント
57歳女性
?
今回行ったオペはSNSでも話題の<裏ハムラ法>という、まぶたの裏から眼窩脂肪を取らずに目の下に移動、固定させる事で脂肪注入無しでもクマを改善ができる治療です◎
再発予防効果も高いですね^_^
無駄な治療を削ぎ落とし、かつ最大限の効果が得られて大変お喜び頂きました!?
?
年齢的には40歳以下の方が良い適応となる場合が多い術式です。
?
-----
?
【超スゴ腕ドクターの圧倒的症例数】
切るクマ治療<アイバックリムーブ>症例数全国No.1(SBC2023年上半期)
切るクマ治療<切開ハムラ>症例数全国No.1(SBC2023年下半期)
切らないクマ治療<裏ハムラ>症例数中四国No.1(SBC2023年下半期)
若返り<お顔の脂肪注入>西日本No.1(SBC2022年下半期)
?
この手術は難易度が高く、できる医師は限られます。?「他院では脱脂で良いと言われた」とお客様から聞きますが、ハムラ法までしっかり行える医師が適応を見極めてはじめて言えるセリフですよね。?脱脂に高いお金を払う前に私のところにみせにきてくださいね。??
また、裏ハムラが流行すると、残念ながら世の中には裏ハムラと謳って料金を頂き、実際は脱脂して脂肪注入で凹みを誤魔化すという詐欺行為も行われているとか…外科医としてあり得ない行為だし信じたくないですが…
脂肪注入や、追加の〇〇注射、〇〇レーザーなど推し勧めてくる場合は要注意です。
?
私はクマ治療を全て行える数少ない美容外科医であり、
経結膜脱脂、脂肪注入、裏ハムラ、アイバックリムーブ、切開ハムラ、眼輪筋弁吊り上げ、修正手術までクマ治療を全てご案内可能です◎
適応を見極め、最適なご案内をしております!
?
※ちなみに、茶クマ(色素沈着)は完全には消えません><
・目の下を触らない・擦らない
・紫外線避ける
・保湿
この3つが大切です。
?
もちろん、怖くて切りたくない方は切らずにできるだけ綺麗にする事も可能なので、是非ご相談ください。