美容外科・美容皮膚科・審美歯科なら湘南美容クリニック
電話予約・電話問い合わせ 10:00~22:45対応 番号を通知してお電話ください 0120-489-100
Instagram
LINE
YouTube
公式アプリ
美容皮膚科
あなたに最適な美容メンテナンスをサポートします!
二重整形
これを見たらあなたも思わず二重にしたくなる♡
医療ダイエット
医療ダイエットをしたらマイナス何センチ?リアルな結果を発信中!
若返り
年齢別・お悩み別で「今やるべき美容医療」がわかる美容医療メディア
クマ取り
クマ取り失敗したくない方必見!成功の秘訣満載★
脂肪吸引
美は武器!夜職女性のための美の総合メディア
予約・お問い合わせ
美容外科 MENU
Language
メインメニュー
診療内容一覧
料金一覧
クリニック案内
ドクター一覧
モニター募集
症例写真
よくある質問
当院が選ばれる理由
当院の症例写真は、画像処理により形や大きさをかえるような処理は一切おこなっておりません。
塩入幹汰 医師
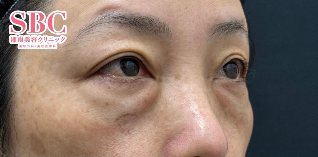
施術前
施術後1ヶ月後
施術した院
部位
施術
施術回数
数量
性別
50代女性のクマ取り手術の症例です。このタイプのクマは、目袋3脂肪が皮膚や筋肉の緩みにより飛び出してきていることが原因です。月日が経つと、その飛び出しの程度が強くなり、クマもより目立つようになります。クマが気になっている方は、手術をいつ決断していただくかが大事なポイントです??目の下の切らないクマ取り+脂肪注入を行っています。クマによる疲れ目が解消され、若々しい印象になっていますね。クマの飛び出しによって今まで隠れていた涙袋も見えるようになっていますね♪脂肪注入を併用した方がきれいな仕上がりになるかどうかはお顔のタイプによって異なります。診察で最適な治療方法を提案させていただきますので、まずは相談だけでもしたいという方もカウンセリングでお待ちしています。Instagram(アカウント名:sbc_kanta)でも症例写真を載せています。是非チェックしてみてください!お得なモニター募集もしています♪★こちらのURLからご予約・モニター情報をご確認いただけます★https://lit.link/shioirikanta
施術担当者からのコメント
50代女性のクマ取り手術の症例です。
このタイプのクマは、目袋3脂肪が皮膚や筋肉の緩みにより飛び出してきていることが原因です。月日が経つと、その飛び出しの程度が強くなり、クマもより目立つようになります。クマが気になっている方は、手術をいつ決断していただくかが大事なポイントです??
目の下の切らないクマ取り+脂肪注入を行っています。クマによる疲れ目が解消され、若々しい印象になっていますね。
クマの飛び出しによって今まで隠れていた涙袋も見えるようになっていますね♪
脂肪注入を併用した方がきれいな仕上がりになるかどうかはお顔のタイプによって異なります。
診察で最適な治療方法を提案させていただきますので、まずは相談だけでもしたいという方もカウンセリングでお待ちしています。
Instagram(アカウント名:sbc_kanta)でも症例写真を載せています。
是非チェックしてみてください!お得なモニター募集もしています♪
★こちらのURLからご予約・モニター情報をご確認いただけます★
https://lit.link/shioirikanta