美容外科・美容皮膚科・審美歯科なら湘南美容クリニック
電話予約・電話問い合わせ 10:00~22:45対応 番号を通知してお電話ください 0120-489-100
Instagram
LINE
YouTube
公式アプリ
美容皮膚科
あなたに最適な美容メンテナンスをサポートします!
二重整形
これを見たらあなたも思わず二重にしたくなる♡
医療ダイエット
医療ダイエットをしたらマイナス何センチ?リアルな結果を発信中!
若返り
年齢別・お悩み別で「今やるべき美容医療」がわかる美容医療メディア
クマ取り
クマ取り失敗したくない方必見!成功の秘訣満載★
脂肪吸引
美は武器!夜職女性のための美の総合メディア
予約・お問い合わせ
美容外科 MENU
Language
メインメニュー
診療内容一覧
料金一覧
クリニック案内
ドクター一覧
モニター募集
症例写真
よくある質問
当院が選ばれる理由
当院の症例写真は、画像処理により形や大きさをかえるような処理は一切おこなっておりません。
水口将志 医師
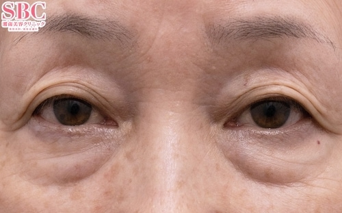
施術前
施術後3ヶ月後
施術した院
部位
施術
施術回数
数量
性別
60代後半/女性・切開ハムラ・VOVリフト(6本)手術前・手術3ヶ月後の経過写真を掲載しています。実年齢よりも老けて見える目の下のクマにお悩みのお客様。切開ハムラ法でも3ヶ月で綺麗な仕上がりになりました。執刀医 立川院院長 水口将志\\ SNSでも情報発信しています //Instagram:@sbc_mizuguchiYoutube:若返りのプロの水口先生TIKTOK:sbc_dr.mizuguchi症例写真多数掲載!有益な美容情報も投稿中!
施術担当者からのコメント
60代後半/女性
・切開ハムラ
・VOVリフト(6本)
手術前・手術3ヶ月後の経過写真を掲載しています。
実年齢よりも老けて見える目の下のクマにお悩みのお客様。
切開ハムラ法でも3ヶ月で綺麗な仕上がりになりました。
執刀医 立川院院長 水口将志
\\ SNSでも情報発信しています //
Instagram:@sbc_mizuguchi
Youtube:若返りのプロの水口先生
TIKTOK:sbc_dr.mizuguchi
症例写真多数掲載!有益な美容情報も投稿中!