美容外科・美容皮膚科・審美歯科なら湘南美容クリニック
電話予約・電話問い合わせ 10:00~22:45対応 番号を通知してお電話ください 0120-489-100
Instagram
LINE
YouTube
公式アプリ
美容皮膚科
あなたに最適な美容メンテナンスをサポートします!
二重整形
これを見たらあなたも思わず二重にしたくなる♡
医療ダイエット
医療ダイエットをしたらマイナス何センチ?リアルな結果を発信中!
若返り
年齢別・お悩み別で「今やるべき美容医療」がわかる美容医療メディア
クマ取り
クマ取り失敗したくない方必見!成功の秘訣満載★
脂肪吸引
美は武器!夜職女性のための美の総合メディア
予約・お問い合わせ
美容外科 MENU
Language
メインメニュー
診療内容一覧
料金一覧
クリニック案内
ドクター一覧
モニター募集
症例写真
よくある質問
当院が選ばれる理由
当院の症例写真は、画像処理により形や大きさをかえるような処理は一切おこなっておりません。
中野達生 医師
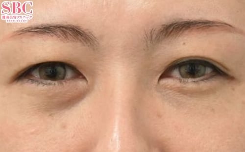
施術前
施術後1ヶ月後
施術した院
部位
施術
施術回数
数量
性別
\目の下のクマ取り・たるみ取り、裏ハムラ法なら中野達生にお任せ!/★2019.01〜2023下期 【4年連続記録更新】裏ハムラ法(再発しにくいクマ取り)症例数 全国NO.1★(SBC内)★2019.01-2023 【3年連続記録更新】クマ取り若返り症例数 中部エリアNO.1+2023西日本NO.1+2023全国NO.2★(SBC内)★2019年度、2021年上半期(2021.01-06) 若返り脂肪注入症例数 中部エリアNO.1★(SBC内)/目の下のクマ取りは実績がしっかりとある医師にお任せください!\??無料カウンセリングのご予約は以下よりお待ちしております??https://www.s-b-c.net/k_campaign/campaign072-0274.htmlモニター応募のページになりますが、モニター希望ではない方もこちらお願いします。希望なしの旨は直接お申し付けください。+---------------------------++---------------------------+今回のお客さまは、・裏ハムラ・コンデンスリッチフェイス(ゴルゴ線)術後1ヶ月目のご様子です。目の下の膨らみとクマの色がなくなり、若々しいお顔になりました!+---------------------------++---------------------------+クマ取り症例写真多数ございます!!https://www.s-b-c.net/photo/index.cgi?ss2=5&ss5=121あなたのお悩みを解決するお手伝いができる日を心よりお待ちしております。
施術担当者からのコメント
\目の下のクマ取り・たるみ取り、裏ハムラ法なら中野達生にお任せ!/
★2019.01〜2023下期 【4年連続記録更新】裏ハムラ法(再発しにくいクマ取り)症例数 全国NO.1★(SBC内)
★2019.01-2023 【3年連続記録更新】クマ取り若返り症例数 中部エリアNO.1+2023西日本NO.1+2023全国NO.2★(SBC内)
★2019年度、2021年上半期(2021.01-06) 若返り脂肪注入症例数 中部エリアNO.1★(SBC内)
/目の下のクマ取りは実績がしっかりとある医師にお任せください!\
??無料カウンセリングのご予約は以下よりお待ちしております??
https://www.s-b-c.net/k_campaign/campaign072-0274.html
モニター応募のページになりますが、モニター希望ではない方もこちらお願いします。
希望なしの旨は直接お申し付けください。
+---------------------------++---------------------------+
今回のお客さまは、
・裏ハムラ
・コンデンスリッチフェイス(ゴルゴ線)
術後1ヶ月目のご様子です。
目の下の膨らみとクマの色がなくなり、若々しいお顔になりました!
+---------------------------++---------------------------+
クマ取り症例写真多数ございます!!
https://www.s-b-c.net/photo/index.cgi?ss2=5&ss5=121
あなたのお悩みを解決するお手伝いができる日を心よりお待ちしております。