美容外科・美容皮膚科・審美歯科なら湘南美容クリニック
電話予約・電話問い合わせ 10:00~22:45対応 番号を通知してお電話ください 0120-489-100
Instagram
LINE
YouTube
公式アプリ
美容皮膚科
あなたに最適な美容メンテナンスをサポートします!
二重整形
これを見たらあなたも思わず二重にしたくなる♡
医療ダイエット
医療ダイエットをしたらマイナス何センチ?リアルな結果を発信中!
若返り
年齢別・お悩み別で「今やるべき美容医療」がわかる美容医療メディア
クマ取り
クマ取り失敗したくない方必見!成功の秘訣満載★
脂肪吸引
美は武器!夜職女性のための美の総合メディア
予約・お問い合わせ
美容外科 MENU
Language
メインメニュー
診療内容一覧
料金一覧
クリニック案内
ドクター一覧
モニター募集
症例写真
よくある質問
当院が選ばれる理由
当院の症例写真は、画像処理により形や大きさをかえるような処理は一切おこなっておりません。
高山真実 医師
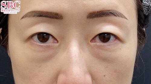
施術前
施術後1ヶ月後
施術した院
部位
施術
施術回数
数量
性別
【施術内容】・裏ハムラ法【お悩み内容】目の下のクマにお悩みでした。ふくらみ・へこみに加えて靭帯の引き込みも強い方だったため「裏ハムラ法」の施術を行いました。へこみ部分にふくらみである脂肪を移動させることで凹凸をなめらかにしました。1週間後はまだ内出血の色味や腫れ感がありますが1ヶ月後にはキレイに滑らかな仕上がりになりました。クマ取りは、適応の見極めが非常に重要です!クマの種類や皮膚の状態、中顔面のパーツバランス…多方面から診断分析し、その方に応じた適応施術をご提案しております。美容に対するハードルはいまだ高く、なかなか踏み出せない方も多いことでしょう。勇気を出して一歩踏み出してこられたお客様には、カウンセリングから手術、術後まで誠実な対応をお約束します。カウンセリングでのご相談は無料ですので、まずは気軽にご相談しにいらして下さい。より明るい毎日を送れるよう全力でサポート致します。執刀医 八王子院院長 高山真実★★★★話題のインスタグラムはコチラ★★★★@sbc_m.takayama症例写真や、解説動画を定期的にアップロードしております。▼▼下の*ドクター関連リンク*の▼▼▼▼ 【instagram】 から飛べます ▼▼
施術担当者からのコメント
【施術内容】
・裏ハムラ法
【お悩み内容】
目の下のクマにお悩みでした。
ふくらみ・へこみに加えて靭帯の引き込みも強い方だったため
「裏ハムラ法」の施術を行いました。
へこみ部分にふくらみである脂肪を移動させることで凹凸をなめらかにしました。
1週間後はまだ内出血の色味や腫れ感がありますが
1ヶ月後にはキレイに滑らかな仕上がりになりました。
クマ取りは、適応の見極めが非常に重要です!
クマの種類や皮膚の状態、中顔面のパーツバランス…
多方面から診断分析し、その方に応じた適応施術をご提案しております。
美容に対するハードルはいまだ高く、なかなか踏み出せない方も多いことでしょう。
勇気を出して一歩踏み出してこられたお客様には、カウンセリングから手術、術後まで誠実な対応をお約束します。
カウンセリングでのご相談は無料ですので、まずは気軽にご相談しにいらして下さい。
より明るい毎日を送れるよう全力でサポート致します。
執刀医 八王子院院長 高山真実
★★★★話題のインスタグラムはコチラ★★★★
@sbc_m.takayama
症例写真や、解説動画を定期的にアップロードしております。
▼▼下の*ドクター関連リンク*の▼▼
▼▼ 【instagram】 から飛べます ▼▼