症例写真(No.335145)
当院の症例写真は、画像処理により形や大きさをかえるような処理は一切おこなっておりません。
中野達生 医師
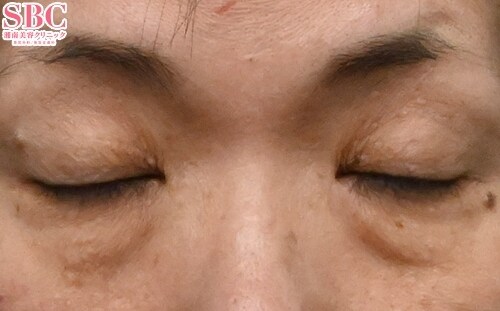
No.335145【若返り】【2019.01〜2023下期[4年連続]裏ハムラ法(再発しにくいクマ取り)症例数 全国No.1!(SBC内)】目の下のクマの色を改善!50代女性 裏ハムラ法+コンデンスリッチフェイス(ゴルゴ線)+ナノリッチ(目の下〜ゴルゴ線) 術後1ヶ月目 栄院院長中野施術
すべての画像を見る
施術した院
部位
施術
施術回数
数量
性別










施術担当者からのコメント
\目の下のクマ取り・たるみ取り、裏ハムラ法なら中野達生にお任せ!/
★2019.01〜2023下期 【4年連続記録更新】裏ハムラ法(再発しにくいクマ取り)症例数 全国NO.1★(SBC内)
★2019.01-2023 【3年連続記録更新】クマ取り若返り症例数 中部エリアNO.1+2023西日本NO.1+2023全国NO.2★(SBC内)
★2019年度、2021年上半期(2021.01-06) 若返り脂肪注入症例数 中部エリアNO.1★(SBC内)
/目の下のクマ取りは実績がしっかりとある医師にお任せください!\
?無料カウンセリングのご予約は以下よりお待ちしております?
https://www.s-b-c.net/k_campaign/campaign072-0274.html
モニター応募のページになりますが、モニター希望ではない方もこちらお願いします。
希望なしの旨は直接お申し付けください。
+---------------------------++---------------------------+
今回のお客さまは、
・裏ハムラ
・コンデンスリッチフェイス(ゴルゴ線)
・ナノリッチ(目の下〜ゴルゴ線)
術後1ヶ月目のご様子です。
大きなクマが無くなり、スッキリとしましたね。
また、脂肪注入でゴルゴ線も消え、若返りが叶いました!
+---------------------------++---------------------------+
クマ取り症例写真多数ございます!!
https://www.s-b-c.net/photo/index.cgi?ss2=5&ss5=121
あなたのお悩みを解決するお手伝いができる日を心よりお待ちしております。