症例写真(No.335315)
当院の症例写真は、画像処理により形や大きさをかえるような処理は一切おこなっておりません。
大野津介 医師
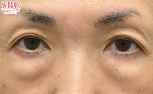
No.335315【若返り】【切らないクマ取り】【50代症例】☆症例数第2位!(2022年下半期/東京都のぞく関東)☆ 【目の下の切らないたるみ取り+ナノリッチ+コンデンスリッチフェイス】切る・切らない二つの視点からお客様にとって最適な治療を提案します!目の下のたるみ・クマをなくして-5歳に印象チェンジ!【施術後1ヶ月経過】
すべての画像を見る
施術した院
部位
施術
施術回数
数量
性別




施術担当者からのコメント
施術前・施術後1ヶ月経過したお写真です。
こちらの症例は『切らないクマ取り』
『目の下の切らないたるみ取り+ナノリッチ+コンデンスリッチフェイス』
術前、3ヶ月の症例になります
切らないクマ取り!ダウンタイムは最小限!美しい仕上がりになりました!
切らないクマ取りだけでも脂肪の除去+整える為の脂肪注入、しわの改善は見込めますが
皮膚のたるみが残るケースがございます
長期のお休みが取れる方などには切るクマ取りを提案
お休みが取れる・取れないなどお客様の状態によっても最適な治療を提案させていただきます
まずはカウンセリングへお越しくださいませ
術後のケアに関してはQ&A方式で紹介している
youtubeエイジングケア教室も是非ご参照ください。
【目の下の切らないたるみ取りとは】
目の下の脂肪を、お顔表面を切らずに除去可能な若返り法です。
・表面を切らずに除去可能
・生き生きとした目元に!
・短時間の施術
・傷跡が残らない
・術後のダウンタイムが少ない
目の下の切らないたるみ取りにはこんなに良い事があります!
【ナノリッチ法とは】
脂肪から極少量しか取れない研ぎ澄まされた良質な幹細胞と
小さな脂肪からなる不純物の少ない極小脂肪を、
複数の注入口から注入するクリスクロス法で実現する、
永続的な効果が期待できるエイジングケア術です。
硬い線維質を徹底除去した幹細胞を使用するので、不自然な凹凸が出来にくく、
コンデンスリッチと併用することでボリュームを出しつつより滑らかで自然な仕上がりが期待できます。
若返り術を最も得意とする大野医師に
何でも相談してくださいね^^
モニター様も募集中です。
皆様のご予約をお待ちしております!!
★instagram絶賛更新中★
【大野医師担当:二重症例のみ】
@sbc_ono_eye
【大野医師担当:エイジングケア症例中心】
@onoshinsuke_sbc
【船橋院公式】
@sbc__funabashi
インスタグラムではリアルタイムで沢山の症例写真や
施術動画をあげています!
≪下の「instagram」アイコンからも