美容外科・美容皮膚科・審美歯科なら湘南美容クリニック
電話予約・電話問い合わせ 10:00~22:45対応 番号を通知してお電話ください 0120-489-100
Instagram
LINE
YouTube
公式アプリ
美容皮膚科
あなたに最適な美容メンテナンスをサポートします!
二重整形
これを見たらあなたも思わず二重にしたくなる♡
医療ダイエット
医療ダイエットをしたらマイナス何センチ?リアルな結果を発信中!
若返り
年齢別・お悩み別で「今やるべき美容医療」がわかる美容医療メディア
クマ取り
クマ取り失敗したくない方必見!成功の秘訣満載★
脂肪吸引
美は武器!夜職女性のための美の総合メディア
予約・お問い合わせ
美容外科 MENU
Language
メインメニュー
診療内容一覧
料金一覧
クリニック案内
ドクター一覧
モニター募集
症例写真
よくある質問
当院が選ばれる理由
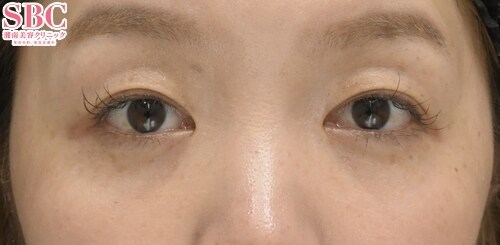
当院の症例写真は、画像処理により形や大きさをかえるような処理は一切おこなっておりません。
細川智弘 医師
施術前
施術後3ヶ月後
施術した院
部位
施術
施術回数
数量
性別
【社員指名殺到中!!新宿本院仕込みの圧倒的技術力】インスタグラムなどのSNSから指名殺到中!!新宿本院仕込みの圧倒的な技術力で四日市院院長に異例の大抜擢★あなたの垢抜けのお手伝いさせて下さい!!こんな悩みはありませんか?・疲れてる?って聞かれる・実年齢より老けて見られる原因は目の下の眼下脂肪目周りが変わるだけで、見た目年齢や第一印象は大きく変わります もっと明るい、若々しい目元へ■□■細川智弘医師の推しポイント■□■・新宿本院仕込みの圧倒的な技術力・圧倒的症例数(フォーエバー二重術全国No.1・スクエア二重術中部No.1)・親切丁寧なカウンセリング・最終シミュレーションの丁寧さどんな要望でも、出来る限りお応えできるようにカンセリングさせていただきますので、お気軽にご相談ください!■ご来院前にインスタグラムなどSNSに多数症例掲載しておりますのでぜひご覧ください!かわいいと思ったデザインはカウンセリングの際に見せてくださるとスムーズです♪
施術担当者からのコメント
【社員指名殺到中!!新宿本院仕込みの圧倒的技術力】
インスタグラムなどのSNSから指名殺到中!!
新宿本院仕込みの圧倒的な技術力で四日市院院長に異例の大抜擢★
あなたの垢抜けのお手伝いさせて下さい!!
こんな悩みはありませんか?
・疲れてる?って聞かれる
・実年齢より老けて見られる
原因は目の下の眼下脂肪
目周りが変わるだけで、見た目年齢や第一印象は大きく変わります
もっと明るい、若々しい目元へ
■□■細川智弘医師の推しポイント■□■
・新宿本院仕込みの圧倒的な技術力
・圧倒的症例数(フォーエバー二重術全国No.1・スクエア二重術中部No.1)
・親切丁寧なカウンセリング
・最終シミュレーションの丁寧さ
どんな要望でも、出来る限りお応えできるようにカンセリングさせていただきますので、お気軽にご相談ください!
■ご来院前に
インスタグラムなどSNSに多数症例掲載しておりますのでぜひご覧ください!
かわいいと思ったデザインはカウンセリングの際に見せてくださるとスムーズです♪