美容外科・美容皮膚科・審美歯科なら湘南美容クリニック
電話予約・電話問い合わせ 10:00~22:45対応 番号を通知してお電話ください 0120-489-100
Instagram
LINE
YouTube
公式アプリ
美容皮膚科
あなたに最適な美容メンテナンスをサポートします!
二重整形
これを見たらあなたも思わず二重にしたくなる♡
医療ダイエット
医療ダイエットをしたらマイナス何センチ?リアルな結果を発信中!
若返り
年齢別・お悩み別で「今やるべき美容医療」がわかる美容医療メディア
クマ取り
クマ取り失敗したくない方必見!成功の秘訣満載★
脂肪吸引
美は武器!夜職女性のための美の総合メディア
予約・お問い合わせ
美容外科 MENU
Language
メインメニュー
診療内容一覧
料金一覧
クリニック案内
ドクター一覧
モニター募集
症例写真
よくある質問
当院が選ばれる理由
当院の症例写真は、画像処理により形や大きさをかえるような処理は一切おこなっておりません。
岩砂里美 医師
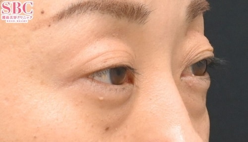
施術前
施術後1週間後
施術した院
部位
施術
施術回数
数量
性別
【モニターのお客様】目の下の切らないクマ・たるみ取り+ナノリッチ脂肪注入を併用することで、クマ取りのみでは得られない滑らかで自然な仕上がりが叶います♪ナノリッチは色味の調整もできますので、青クマでお悩みの方にもおすすめです!--------------------------数ある施術の中で、自分が受けたいかどうかという視点に立って施術を選択し、行っています。傷跡のこと、効果のこと、ダウンタイムなど、あらゆることを考慮に入れ、自分も受けた、もしくは将来受けたい施術のみをご提案します。ありがたいことにお客様からの指名が非常に多いため、ご予約が取りにくい状況ではございますが、ご来院してくださるお客様お一人お一人を一番に考え、質の高い治療をご提供することが私のモットーです。【岩砂医師が選ばれる理由】・スタッフから多数指名・全国各地から多数指名・リピーター率が高い・仕上がりの美しさ・丁寧なカウンセリング・術後のアフターケアが充実・経験豊富だからお客様のご希望に臨機応変に応えられる
施術担当者からのコメント
【モニターのお客様】
目の下の切らないクマ・たるみ取り+ナノリッチ
脂肪注入を併用することで、クマ取りのみでは得られない滑らかで自然な仕上がりが叶います♪
ナノリッチは色味の調整もできますので、青クマでお悩みの方にもおすすめです!
--------------------------
数ある施術の中で、自分が受けたいかどうかという視点に立って施術を選択し、行っています。
傷跡のこと、効果のこと、ダウンタイムなど、あらゆることを考慮に入れ、自分も受けた、もしくは将来受けたい施術のみをご提案します。
ありがたいことにお客様からの指名が非常に多いため、ご予約が取りにくい状況ではございますが、ご来院してくださるお客様お一人お一人を一番に考え、質の高い治療をご提供することが私のモットーです。
【岩砂医師が選ばれる理由】
・スタッフから多数指名
・全国各地から多数指名
・リピーター率が高い
・仕上がりの美しさ
・丁寧なカウンセリング
・術後のアフターケアが充実
・経験豊富だからお客様のご希望に臨機応変に応えられる