美容外科・美容皮膚科・審美歯科なら湘南美容クリニック
電話予約・電話問い合わせ 10:00~22:45対応 番号を通知してお電話ください 0120-489-100
Instagram
LINE
YouTube
公式アプリ
美容皮膚科
あなたに最適な美容メンテナンスをサポートします!
二重整形
これを見たらあなたも思わず二重にしたくなる♡
医療ダイエット
医療ダイエットをしたらマイナス何センチ?リアルな結果を発信中!
若返り
年齢別・お悩み別で「今やるべき美容医療」がわかる美容医療メディア
クマ取り
クマ取り失敗したくない方必見!成功の秘訣満載★
脂肪吸引
美は武器!夜職女性のための美の総合メディア
予約・お問い合わせ
美容外科 MENU
Language
メインメニュー
診療内容一覧
料金一覧
クリニック案内
ドクター一覧
モニター募集
症例写真
よくある質問
当院が選ばれる理由
当院の症例写真は、画像処理により形や大きさをかえるような処理は一切おこなっておりません。
福田康裕 医師
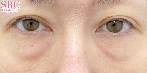
施術前
施術後3ヶ月後
施術した院
部位
施術
施術回数
数量
性別
40代女性のお客様。クマを取ることで、目の下の凹凸が無くなり明るい若々しいお目元になりました。クマ取りで10歳若返ります。--------------------------------------------------■施術内容・目の下の切らないクマ・たるみ(膨らみ)取り・ナノリッチフェイス■こだわりポイント・形成外科専門医として培った技術で様々なご要望を実現可能・一人ひとりの目元に合った一番適切な施術をご提案・SBCで取り扱いのあるクマ取り全メニューに対応可能全てのクマ取りを網羅した最高難易度のオーダーメイドクマ取り--------------------------------------------------instagramに症例写真を投稿しています。ぜひ参考にしてください。二重:sbc_fukuda鼻症例:sbc_fukuda_2_noseクマ取り:sbc_fukuda_3で検索!--------------------------------------------------Youtubeもやってます!施術解説やよくある質問などにお答えしています。「湘南 やっすん」で検索!--------------------------------------------------
施術担当者からのコメント
40代女性のお客様。
クマを取ることで、目の下の凹凸が無くなり明るい若々しいお目元になりました。
クマ取りで10歳若返ります。
--------------------------------------------------
■施術内容
・目の下の切らないクマ・たるみ(膨らみ)取り
・ナノリッチフェイス
■こだわりポイント
・形成外科専門医として培った技術で様々なご要望を実現可能
・一人ひとりの目元に合った一番適切な施術をご提案
・SBCで取り扱いのあるクマ取り全メニューに対応可能
全てのクマ取りを網羅した最高難易度のオーダーメイドクマ取り
--------------------------------------------------
instagramに症例写真を投稿しています。
ぜひ参考にしてください。
二重:sbc_fukuda
鼻症例:sbc_fukuda_2_nose
クマ取り:sbc_fukuda_3
で検索!
--------------------------------------------------
Youtubeもやってます!
施術解説やよくある質問などにお答えしています。
「湘南 やっすん」で検索!
--------------------------------------------------