症例写真(No.336315)

当院の症例写真は、画像処理により形や大きさをかえるような処理は一切おこなっておりません。

菅原佑太 医師

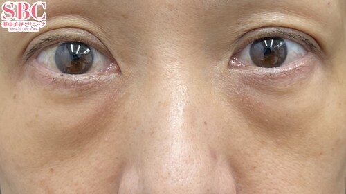
No.336315【若返り】【術前→1週間】 50代女性 見違えるほどの若返り!外科専門医による切らないくまとり+脂肪注入!

施術前

目の下のたるみ・ふくらみでご相談いただきました
→

施術後1週間後

まだ腫れ・内出血があります
すべての画像を見る

施術した院

部位

施術

施術回数

数量

性別

関連症例写真

1か月 腫れが引き、とてもきれいな目元です

施術担当者からのコメント

【施術内容】目の下のクマたるみ取り+コンデンスリッチ(目の下〜ゴルゴ、目の上)

40代女性 目の下の膨らみが気になるとご相談いただきました。目の下の膨らみに加え、目の下からゴルゴラインにかけての凹み、目の上の凹みも出てきており、目の下の切らないくま取り+脂肪注入(目の下〜ゴルゴ、目の上)で施術させていただきました。眼窩脂肪は取りすぎると、へこんでしまうため、取る量をコントロールし、若返りを図っています。1週間では、まだ若干の腫れがありますが、1か月もするとなじみ、目元の印象が変わっているがよくわかります。ご本人にも、若返ったと喜んでいただけました。手術お疲れさまでした!

目の下に関しては、取る脂肪と、入れる脂肪は、部位が異なるため、どちらかのみで良い方もいますが、多くの方は、両方の施術を併用することで、より綺麗な目元になっていきます。皮膚のたるみ具合や、気になる色味によっては、切開ハムラ、裏ハムラ、アイバックリムーブなど、ほかの施術をご案内することもあります。また、脂肪注入が必要な場合、一般的に脂肪の定着率は半分以下のことが多いですが、横浜東口院には、リジェネラという、定着率を上げる機械も常設しています。できる限り一度で脂肪注入を終わらせたい、何回も手術したくない、安心安全な自分の組織で定着率をぐっと上げたい、そんな方にオススメです。

カウンセリングは無料ですので、いつでもご相談ください。「菅原医師のカウンセリング希望、モニター希望」など、と伝えいただくと、スムーズです。
0120-955-799

目の下のクマたるみ取り
モニターNo.098-0361 
モニター料金 79,100円〜



×

当院におけるワクチン接種後の治療間隔(ガイドライン)

美容皮膚科、美容外科小手術

前後3日(手術日は含まず)、自覚する副反応がなければ可
安心麻酔を使用するものは接種後1週間は空ける

美容外科中、大手術

前後1週間
副反応が残っている場合は延期
接種部位と手術部位が同じ場合は2週間は空ける

×

お急ぎの方はお電話ください

0120-489-100

受付時間 / 10:00~23:00