美容外科・美容皮膚科・審美歯科なら湘南美容クリニック
電話予約・電話問い合わせ 10:00~22:45対応 番号を通知してお電話ください 0120-489-100
Instagram
LINE
YouTube
公式アプリ
美容皮膚科
あなたに最適な美容メンテナンスをサポートします!
二重整形
これを見たらあなたも思わず二重にしたくなる♡
医療ダイエット
医療ダイエットをしたらマイナス何センチ?リアルな結果を発信中!
若返り
年齢別・お悩み別で「今やるべき美容医療」がわかる美容医療メディア
クマ取り
クマ取り失敗したくない方必見!成功の秘訣満載★
脂肪吸引
美は武器!夜職女性のための美の総合メディア
予約・お問い合わせ
美容外科 MENU
Language
メインメニュー
診療内容一覧
料金一覧
クリニック案内
ドクター一覧
モニター募集
症例写真
よくある質問
当院が選ばれる理由
当院の症例写真は、画像処理により形や大きさをかえるような処理は一切おこなっておりません。
名倉俊輔 医師
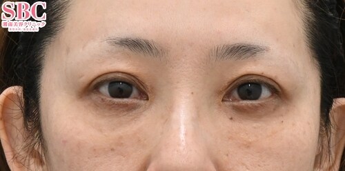
施術前
施術後6ヶ月後
施術した院
部位
施術
施術回数
数量
性別
日本美容外科学会認定専門医の名倉俊輔です。秋葉原院にて日々美容医療に全力で取り組んでいます。【モニターのお客様】50代 女性眉下リフト「結果にこだわる」これが私の診療方針です。人の顔にメスを入れることが許されているのは医師だけです。このことを真摯に受け止め、日々技術の向上に努めています。【実績】・2年連続 総合日本1位美容外科医(2023?2024年)・脂肪吸引エキスパートドクターに選出(1人 / 465人中)・若返りエキスパートドクターに選出(1人 / 465人中)・目元切開手術 厳選医師に選出・整形シンデレラ 全顔トータルビューティーの大会で2連覇・マイアミ、パリ、上海、バンコクなどでの国際学会講演【症例数 全国No.1】★輪郭手術症例数 全分野で全国No.1★・顔の脂肪吸引 6年連続全国No.1 (2018~2023年)・脂肪吸引 4年連続全国No.1 (2020~2023年)・バッカルファット除去 6年連続全国No.1 (2018~2023年)・糸リフト 5年連続全国1位 (2019~2023年)※SBC医師465名中★★★Instagramやっています★★★さまざまな年齢・輪郭タイプの症例を載せております!ぜひチェックしてみてください!
施術担当者からのコメント
日本美容外科学会認定専門医の名倉俊輔です。
秋葉原院にて日々美容医療に全力で取り組んでいます。
【モニターのお客様】
50代 女性
眉下リフト
「結果にこだわる」これが私の診療方針です。
人の顔にメスを入れることが許されているのは医師だけです。
このことを真摯に受け止め、日々技術の向上に努めています。
【実績】
・2年連続 総合日本1位美容外科医(2023?2024年)
・脂肪吸引エキスパートドクターに選出(1人 / 465人中)
・若返りエキスパートドクターに選出(1人 / 465人中)
・目元切開手術 厳選医師に選出
・整形シンデレラ 全顔トータルビューティーの大会で2連覇
・マイアミ、パリ、上海、バンコクなどでの国際学会講演
【症例数 全国No.1】
★輪郭手術症例数 全分野で全国No.1★
・顔の脂肪吸引 6年連続全国No.1 (2018~2023年)
・脂肪吸引 4年連続全国No.1 (2020~2023年)
・バッカルファット除去 6年連続全国No.1 (2018~2023年)
・糸リフト 5年連続全国1位 (2019~2023年)
※SBC医師465名中
★★★Instagramやっています★★★
さまざまな年齢・輪郭タイプの症例を載せております!
ぜひチェックしてみてください!