お急ぎの方はお電話ください
WEB予約
メンズ専用
LINE登録
オンラインストア
SBC公式アプリ
SBC 採用サイト
医療機関検索サイトアイメッド
定額制セルフエステ
当院の症例写真は、画像処理により形や大きさをかえるような処理は一切おこなっておりません。
宜保智樹 医師
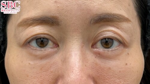
施術前
施術後1ヶ月後
施術した院
部位
施術
施術回数
数量
性別
ご覧いただきありがとうございます。下眼瞼脱脂+脂肪注入 1ヶ月後のお写真です。目の下の切らないクマ・たるみ(ふくらみ)取りは、「くま」の原因となる眼窩脂肪を除去することにより目の下のたるみやふくらみを改善させ、目まわりの印象を若返らせる治療です。脂肪注入は、凹みやゴルゴラインなどを整えながら、中顔面をふっくらハリを出すことで若々しくなります。疲れ顔でお悩みの方や、ハリのある目元にしたい方にオススメの施術です。・丁寧なカウンセリング・ご希望に沿った自然なデザイン(仕上がり)・痛みの少ない手術にこだわっております!是非、お気軽にご相談下さい。★モニター応募はこちら★【モニター番号 No. 065-1075】モニター応募リンク→ https://x.gd/cZNlVTEL→ 池袋東口院 0120-742-910※お電話でご予約の際は、上記のモニター番号をお伝えください。※モニターには医師の審査がございます。お得なモニターを募集しておりますので、ぜひご利用下さい。期間限定・人数限定のお得なモニターもありますのでお見逃しなく!★★instagramやってます★★instaの方ではより詳しく&沢山の症例写真や経過の動画を載せています!是非チェックしてみて下さい♪症例全般・解説→ @sbc_ gibo豊胸・痩身→ @sbc_gibody二重→ @sbc_gibo_w輪郭(脂肪吸引・糸リフトなど)→ @sbc_gibo_actresslineクマ治療・眉下切開→@ sbc_gibo_brighteye
前後3日(手術日は含まず)、自覚する副反応がなければ可安心麻酔を使用するものは接種後1週間は空ける
前後1週間副反応が残っている場合は延期接種部位と手術部位が同じ場合は2週間は空ける
0120-489-100
受付時間 / 10:00~23:00
施術担当者からのコメント
ご覧いただきありがとうございます。
下眼瞼脱脂+脂肪注入 1ヶ月後のお写真です。
目の下の切らないクマ・たるみ(ふくらみ)取りは、「くま」の原因となる眼窩脂肪を除去することにより目の下のたるみやふくらみを改善させ、目まわりの印象を若返らせる治療です。
脂肪注入は、凹みやゴルゴラインなどを整えながら、中顔面をふっくらハリを出すことで若々しくなります。
疲れ顔でお悩みの方や、ハリのある目元にしたい方にオススメの施術です。
・丁寧なカウンセリング
・ご希望に沿った自然なデザイン(仕上がり)
・痛みの少ない手術
にこだわっております!是非、お気軽にご相談下さい。
★モニター応募はこちら★
【モニター番号 No. 065-1075】
モニター応募リンク→ https://x.gd/cZNlV
TEL→ 池袋東口院 0120-742-910
※お電話でご予約の際は、上記のモニター番号をお伝えください。
※モニターには医師の審査がございます。
お得なモニターを募集しておりますので、ぜひご利用下さい。
期間限定・人数限定のお得なモニターもありますのでお見逃しなく!
★★instagramやってます★★
instaの方ではより詳しく&沢山の症例写真や経過の動画を載せています!
是非チェックしてみて下さい♪
症例全般・解説→ @sbc_ gibo
豊胸・痩身→ @sbc_gibody
二重→ @sbc_gibo_w
輪郭(脂肪吸引・糸リフトなど)→ @sbc_gibo_actressline
クマ治療・眉下切開→@ sbc_gibo_brighteye