美容外科・美容皮膚科・審美歯科なら湘南美容クリニック
電話予約・電話問い合わせ 10:00~22:45対応 番号を通知してお電話ください 0120-489-100
Instagram
LINE
YouTube
公式アプリ
美容皮膚科
あなたに最適な美容メンテナンスをサポートします!
二重整形
これを見たらあなたも思わず二重にしたくなる♡
医療ダイエット
医療ダイエットをしたらマイナス何センチ?リアルな結果を発信中!
若返り
年齢別・お悩み別で「今やるべき美容医療」がわかる美容医療メディア
クマ取り
クマ取り失敗したくない方必見!成功の秘訣満載★
脂肪吸引
美は武器!夜職女性のための美の総合メディア
予約・お問い合わせ
美容外科 MENU
Language
メインメニュー
診療内容一覧
料金一覧
クリニック案内
ドクター一覧
モニター募集
症例写真
よくある質問
当院が選ばれる理由
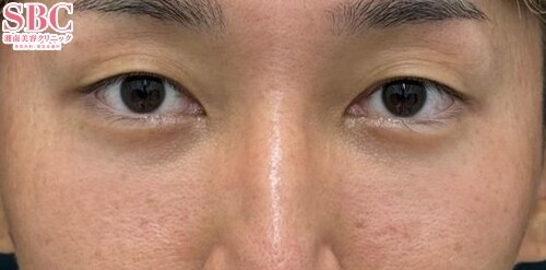
当院の症例写真は、画像処理により形や大きさをかえるような処理は一切おこなっておりません。
出口洸平 医師
施術前
施術後1ヶ月後
施術した院
部位
施術
施術回数
数量
性別
目の下のクマがなくなると印象が変わります!疲れた感は無くなり明るく華やかな目元に変わりましたね!目の下が凹みやすい方はリッチフェイスと言う脂肪注入を併用すると半永久的に若々しいお目元に。新潟院なら裏ハムラ法も選べます!突出した脂肪を取らずに、目の下の窪みへ”移動“しトータルでクマを改善する施術です。無料カウンセリングにてお客様の目の状態に合わせて最適解の瀬術をご提案させて頂きます。【こんなお悩みありませんか?】・鏡を見たときに「目の下に線・影」ができている・疲れてないのに「最近疲れてる?」とよく言われる・化粧してもクマを隠せない・昔から目の下が気になっている日帰りでお施術ができます^^ドクター出口なら親切・丁寧・早い・美しいオペ!モニター様価格もござまいます。今すぐお申し込み下さいませ!
施術担当者からのコメント
目の下のクマがなくなると印象が変わります!
疲れた感は無くなり
明るく華やかな目元に変わりましたね!
目の下が凹みやすい方はリッチフェイスと言う脂肪注入を併用すると半永久的に若々しいお目元に。
新潟院なら裏ハムラ法も選べます!突出した脂肪を取らずに、目の下の窪みへ”移動“しトータルでクマを改善する施術です。
無料カウンセリングにて
お客様の目の状態に合わせて最適解の瀬術をご提案させて頂きます。
【こんなお悩みありませんか?】
・鏡を見たときに「目の下に線・影」ができている
・疲れてないのに「最近疲れてる?」とよく言われる
・化粧してもクマを隠せない
・昔から目の下が気になっている
日帰りでお施術ができます^^
ドクター出口なら親切・丁寧・早い・美しいオペ!
モニター様価格もござまいます。
今すぐお申し込み下さいませ!