お急ぎの方はお電話ください
WEB予約
メンズ専用
LINE登録
オンラインストア
SBC e Gift
SBC公式アプリ
SBC 採用サイト
医療機関検索サイトアイメッド
定額制セルフエステ
当院の症例写真は、画像処理により形や大きさをかえるような処理は一切おこなっておりません。
菅原佑太 医師
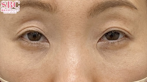
施術前
施術後1週間後
施術した院
部位
施術
施術回数
数量
性別
【施術内容】目の下の切らないくまたるみ取り(両目)+ナチュラル脂肪注射コンデンスリッチ(目の下-ゴルゴ)+ナチュラル脂肪注射ナノリッチ(目の下)40代女性 目の下の膨らみ、凹み、小じわが気になるとご相談頂きました。目の下の膨らみには脱脂術、凹みには脂肪注入、小じわ対策にナノリッチをしています。一つ一つの脂肪を丁寧に切除、止血することで、内出血が極力でないように工夫しています。この方も術後1週間でほとんど腫れがわからない程度にまで落ち着いています。ご本人にも、若返ったと喜んでいただけました。手術お疲れさまでした!目の下に関しては、多くの方は、眼窩脂肪の膨らみだけでなく、その下の靭帯による凹みによって、目の下のクマが強く見えてしまっているひとが多いです。両方の改善をはかることで、より綺麗な目元になっていきます。皮膚のたるみ具合や、気になる色味によっては、切開ハムラ、アイバックリムーブなど、ほかの施術をご案内することもあります。また、ほかの部位の若返りも希望があれば、脂肪注入を併用することもあります。カウンセリングは無料ですので、いつでもご相談ください。「菅原医師のカウンセリング希望、モニター希望」など、と伝えいただくと、スムーズです。 イオン横浜西口院 院長 菅原佑太0120-077-321モニターNo.187-0061モニター料金 79,100円円(税込) ※目の下の切らないくまたるみとりの料金です
前後3日(手術日は含まず)、自覚する副反応がなければ可安心麻酔を使用するものは接種後1週間は空ける
前後1週間副反応が残っている場合は延期接種部位と手術部位が同じ場合は2週間は空ける
施術担当者からのコメント
【施術内容】目の下の切らないくまたるみ取り(両目)+ナチュラル脂肪注射コンデンスリッチ(目の下-ゴルゴ)+ナチュラル脂肪注射ナノリッチ(目の下)
40代女性 目の下の膨らみ、凹み、小じわが気になるとご相談頂きました。目の下の膨らみには脱脂術、凹みには脂肪注入、小じわ対策にナノリッチをしています。一つ一つの脂肪を丁寧に切除、止血することで、内出血が極力でないように工夫しています。この方も術後1週間でほとんど腫れがわからない程度にまで落ち着いています。ご本人にも、若返ったと喜んでいただけました。手術お疲れさまでした!
目の下に関しては、多くの方は、眼窩脂肪の膨らみだけでなく、その下の靭帯による凹みによって、目の下のクマが強く見えてしまっているひとが多いです。両方の改善をはかることで、より綺麗な目元になっていきます。皮膚のたるみ具合や、気になる色味によっては、切開ハムラ、アイバックリムーブなど、ほかの施術をご案内することもあります。また、ほかの部位の若返りも希望があれば、脂肪注入を併用することもあります。
カウンセリングは無料ですので、いつでもご相談ください。「菅原医師のカウンセリング希望、モニター希望」など、と伝えいただくと、スムーズです。
イオン横浜西口院 院長 菅原佑太
0120-077-321
モニターNo.187-0061
モニター料金 79,100円円(税込) ※目の下の切らないくまたるみとりの料金です