美容外科・美容皮膚科・審美歯科なら湘南美容クリニック
電話予約・電話問い合わせ 10:00~22:45対応 番号を通知してお電話ください 0120-489-100
Instagram
LINE
YouTube
公式アプリ
美容皮膚科
あなたに最適な美容メンテナンスをサポートします!
二重整形
これを見たらあなたも思わず二重にしたくなる♡
医療ダイエット
医療ダイエットをしたらマイナス何センチ?リアルな結果を発信中!
若返り
年齢別・お悩み別で「今やるべき美容医療」がわかる美容医療メディア
クマ取り
クマ取り失敗したくない方必見!成功の秘訣満載★
脂肪吸引
美は武器!夜職女性のための美の総合メディア
予約・お問い合わせ
美容外科 MENU
Language
メインメニュー
診療内容一覧
料金一覧
クリニック案内
ドクター一覧
モニター募集
症例写真
よくある質問
当院が選ばれる理由
当院の症例写真は、画像処理により形や大きさをかえるような処理は一切おこなっておりません。
宜保智樹 医師
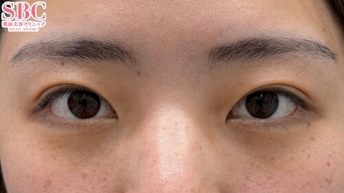
施術前
施術後3ヶ月後
施術した院
部位
施術
施術回数
数量
性別
フォトギャラリーをご覧いただきありがとうございます。下眼瞼脱脂+脂肪注入 3ヶ月後のお写真です。そこまでたるみ(膨らみ)が大きいわけではありませんでしたが、ちょっとした目の下の膨らみを除去。目の下の切らないクマ・たるみ(ふくらみ)取りは、「くま」の原因となる眼窩脂肪を除去することにより目の下のたるみやふくらみを改善させ、目まわりの印象を若返らせる治療です。ハリのある目元にしたい方にオススメの施術です。私、宜保は・一人一人に丁寧なカウンセリング・ご希望に沿った自然なデザイン(仕上がり)・痛みの少ない手術にこだわっております!是非、お気軽にご相談下さい。新百合ヶ丘院 TEL 0120-502-094現在、新百合ヶ丘院では、大変お得なモニター様を募集しておりますので、ぜひご利用下さい。期間限定・人数限定のお得なモニターもありますのでお見逃しなく!★★instagramやってます★★instaの方ではより詳しく&沢山の症例写真を載せています!是非チェックしてみて下さい♪@sbc_ gibo≪↓↓下の「instagram」アイコンから飛べます↓↓≫☆followme☆
施術担当者からのコメント
フォトギャラリーをご覧いただきありがとうございます。
下眼瞼脱脂+脂肪注入 3ヶ月後のお写真です。
そこまでたるみ(膨らみ)が大きいわけではありませんでしたが、
ちょっとした目の下の膨らみを除去。
目の下の切らないクマ・たるみ(ふくらみ)取りは、「くま」の原因となる眼窩脂肪を除去することにより目の下のたるみやふくらみを改善させ、目まわりの印象を若返らせる治療です。
ハリのある目元にしたい方にオススメの施術です。
私、宜保は
・一人一人に丁寧なカウンセリング
・ご希望に沿った自然なデザイン(仕上がり)
・痛みの少ない手術
にこだわっております!
是非、お気軽にご相談下さい。
新百合ヶ丘院 TEL 0120-502-094
現在、新百合ヶ丘院では、大変お得なモニター様を募集しておりますので、ぜひご利用下さい。
期間限定・人数限定のお得なモニターもありますのでお見逃しなく!
★★instagramやってます★★
instaの方ではより詳しく&沢山の症例写真を載せています!
是非チェックしてみて下さい♪
@sbc_ gibo
≪↓↓下の「instagram」アイコンから飛べます↓↓≫
☆followme☆