美容外科・美容皮膚科・審美歯科なら湘南美容クリニック
電話予約・電話問い合わせ 10:00~22:45対応 番号を通知してお電話ください 0120-489-100
Instagram
LINE
YouTube
公式アプリ
美容皮膚科
あなたに最適な美容メンテナンスをサポートします!
二重整形
これを見たらあなたも思わず二重にしたくなる♡
医療ダイエット
医療ダイエットをしたらマイナス何センチ?リアルな結果を発信中!
若返り
年齢別・お悩み別で「今やるべき美容医療」がわかる美容医療メディア
クマ取り
クマ取り失敗したくない方必見!成功の秘訣満載★
脂肪吸引
美は武器!夜職女性のための美の総合メディア
予約・お問い合わせ
美容外科 MENU
Language
メインメニュー
診療内容一覧
料金一覧
クリニック案内
ドクター一覧
モニター募集
症例写真
よくある質問
当院が選ばれる理由
当院の症例写真は、画像処理により形や大きさをかえるような処理は一切おこなっておりません。
大久保樹 医師
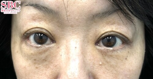
施術前
施術後1週間後
施術した院
部位
施術
施術回数
数量
性別
施術名「経結膜脱脂術」通称:クマ取り「最近目元の影が気になる…」「友達から疲れてる?ってよく言われる…」etcクマ取りの施術は沢山あってどれが自分に一番あってるのか難しいと思いますのでこういったお悩みの方もぜひ一度Dr.おーくぼまでご相談ください!【Dr.おーくぼが選ばれる理由】・症例写真のような綺麗な仕上がり・丁寧な施術によるダウンタイムの少なさ・クマ取り厳選医師である高橋医師監修の技術・幅広い年代(20から60代)の症例提示&症例数お客様とじっくりカウンセリング行い理想のお顔痩せを実現致します!千葉センシティ院では現在お得なモニター様を募集しております。自分の施術を受けて良かったと言って貰えることだけではなく、皆さんに自信をもっていただき「マイナスな思い」を少しでも減らしてより一層笑顔になっていただくことを目標としております。ぜひ綺麗になることのお手伝いを一緒にさせてください!些細な悩み、気になったことがあればなんでも仰ってください。湘南美容クリニック 千葉センシティ院 TEL0120-955-559------★Instagramはこちら★------アカウント:@sbc_t.okubo_eye症例写真を随時更新中!ぜひご参考にしてください!---------------------------------------------------------------
施術担当者からのコメント
施術名
「経結膜脱脂術」通称:クマ取り
「最近目元の影が気になる…」
「友達から疲れてる?ってよく言われる…」etc
クマ取りの施術は沢山あってどれが自分に一番あってるのか
難しいと思いますのでこういった
お悩みの方もぜひ一度Dr.おーくぼまでご相談ください!
【Dr.おーくぼが選ばれる理由】
・症例写真のような綺麗な仕上がり
・丁寧な施術によるダウンタイムの少なさ
・クマ取り厳選医師である高橋医師監修の技術
・幅広い年代(20から60代)の症例提示&症例数
お客様とじっくりカウンセリング行い理想のお顔痩せを実現致します!
千葉センシティ院では現在お得なモニター様を募集しております。
自分の施術を受けて良かったと言って貰えることだけではなく、
皆さんに自信をもっていただき「マイナスな思い」を少しでも減らして
より一層笑顔になっていただくことを目標としております。
ぜひ綺麗になることのお手伝いを一緒にさせてください!
些細な悩み、気になったことがあればなんでも仰ってください。
湘南美容クリニック 千葉センシティ院
TEL0120-955-559
------★Instagramはこちら★------
アカウント:@sbc_t.okubo_eye
症例写真を随時更新中!
ぜひご参考にしてください!
---------------------------------------------------------------