美容外科・美容皮膚科・審美歯科なら湘南美容クリニック
電話予約・電話問い合わせ 10:00~22:45対応 番号を通知してお電話ください 0120-489-100
Instagram
LINE
YouTube
公式アプリ
美容皮膚科
あなたに最適な美容メンテナンスをサポートします!
二重整形
これを見たらあなたも思わず二重にしたくなる♡
医療ダイエット
医療ダイエットをしたらマイナス何センチ?リアルな結果を発信中!
若返り
年齢別・お悩み別で「今やるべき美容医療」がわかる美容医療メディア
クマ取り
クマ取り失敗したくない方必見!成功の秘訣満載★
脂肪吸引
美は武器!夜職女性のための美の総合メディア
予約・お問い合わせ
美容外科 MENU
Language
メインメニュー
診療内容一覧
料金一覧
クリニック案内
ドクター一覧
モニター募集
症例写真
よくある質問
当院が選ばれる理由
当院の症例写真は、画像処理により形や大きさをかえるような処理は一切おこなっておりません。
古澤雅史 医師
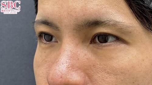
施術前
施術後1ヶ月後
施術した院
部位
施術
施術回数
数量
性別
目の下の切らないクマ・たるみ(ふくらみ)取り・脂肪注射部門、二重切開法部門で厳選医師に選ばれました!施術名:クイックコスメティークトリプルNeo目の下の切らないクマ たるみ取り 両目ナチュラル脂肪注射 ナノリッチ(目の下)ナチュラル脂肪注射 コンデンスリッチ(目の下)【症例解説】脂肪注入&目の下の切らないクマ取りの施術を受けてくれたモニターのお客様の症例です?40代男性て?す。上まぶたのたるみ、目の下のたるみ、凹み、クマが気になるというご相談でした。目力がアップし、若々しくなりました。男性のクマ治療の相談増えてます!※副作用(リスク)腫れ、内出血、血腫、左右差目の下のクマは“目の下の切らないたるみ取り”で解決できます!脂肪を取った後は窪んでしまう事が多いので「脂肪注入」を組み合わせて行うことで窪みの改善だけでなく、小じわの予防や改善にも効果的です■目の下の切らないクマ・たるみ(ふくらみ)取りについて目の下のふくらみの原因である「眼窩脂肪」を、お顔の表面に傷をつけずに除去する施術です。■ナチュラル脂肪注射 コンデンスリッチについてご自身の脂肪を採取し、お顔のくぼみやボリュームダウンしてしまったところに注入し、ふっくらと健康的で若々しい印象を作る施術です。若返り目的だけでなく、美しいフェイスラインをつくるために、施術を受ける方も多いです。■ナチュラル脂肪注射 ナノリッチについて脂肪から極少量しか取れない研ぎ澄まされた良質な幹細胞と小さな脂肪からなる不純物の少ない極小脂肪を、複数の注入口から注入するクリスクロス法で実現する、永続的な効果が期待できる究極の若返り術です。詳しくは無料カウンセリングでご相談ください。湘南美容クリニック池袋メトロポリタン口院0120-232-377(AM10:00?PM11:00 土日祝日も対応)??診療時間AM10:00?PM7:00予約制(最終カウンセリング予約/17:30)??住所東京都豊島区西池袋1丁目10-8サン・グロウビル7F池袋駅メトロポリタン口から徒歩2分
施術担当者からのコメント
目の下の切らないクマ・たるみ(ふくらみ)取り・脂肪注射部門、二重切開法部門で厳選医師に選ばれました!
施術名:
クイックコスメティークトリプルNeo
目の下の切らないクマ たるみ取り 両目
ナチュラル脂肪注射 ナノリッチ(目の下)
ナチュラル脂肪注射 コンデンスリッチ(目の下)
【症例解説】
脂肪注入&目の下の切らないクマ取りの施術を受けてくれたモニターのお客様の症例です?
40代男性て?す。
上まぶたのたるみ、目の下のたるみ、凹み、クマが気になるというご相談でした。
目力がアップし、若々しくなりました。
男性のクマ治療の相談増えてます!
※副作用(リスク)
腫れ、内出血、血腫、左右差
目の下のクマは
“目の下の切らないたるみ取り”で解決できます!
脂肪を取った後は窪んでしまう事が多いので「脂肪注入」を組み合わせて行うことで窪みの改善だけでなく、小じわの予防や改善にも効果的です
■目の下の切らないクマ・たるみ(ふくらみ)取りについて
目の下のふくらみの原因である「眼窩脂肪」を、お顔の表面に傷をつけずに除去する施術です。
■ナチュラル脂肪注射 コンデンスリッチについて
ご自身の脂肪を採取し、お顔のくぼみやボリュームダウンしてしまったところに注入し、ふっくらと健康的で若々しい印象を作る施術です。若返り目的だけでなく、美しいフェイスラインをつくるために、施術を受ける方も多いです。
■ナチュラル脂肪注射 ナノリッチについて
脂肪から極少量しか取れない研ぎ澄まされた良質な幹細胞と小さな脂肪からなる不純物の少ない極小脂肪を、複数の注入口から注入するクリスクロス法で実現する、永続的な効果が期待できる究極の若返り術です。
詳しくは無料カウンセリングでご相談ください。
湘南美容クリニック池袋メトロポリタン口院
0120-232-377
(AM10:00?PM11:00 土日祝日も対応)
??診療時間
AM10:00?PM7:00予約制
(最終カウンセリング予約/17:30)
??住所
東京都豊島区西池袋1丁目10-8
サン・グロウビル7F
池袋駅メトロポリタン口から徒歩2分