お急ぎの方はお電話ください
WEB予約
メンズ専用
LINE登録
オンラインストア
SBC e Gift
SBC公式アプリ
SBC 採用サイト
医療機関検索サイトアイメッド
定額制セルフエステ
当院の症例写真は、画像処理により形や大きさをかえるような処理は一切おこなっておりません。
石丸雄基 医師
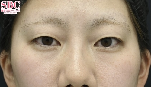
施術前
施術後1ヶ月後
施術した院
部位
施術
施術回数
数量
性別
ご覧いただきありがとうございます。川越院の石丸雄基と申します!【治療内容】目の下の切らないクマ・たるみ(ふくらみ)取り+コンデンスリッチフェイス(脂肪注入)目の下・ゴルゴライン【Dr.まるが選ばれる理由】・確実な若返り効果・ダウンタイム最小限にするための麻酔方法・丁寧なカウンセリング(ご不安がなくなるまで時間をかけます)・不要なアップセルではなくあくまで必要十分な施術のみで対応・適正な価格でのご提供・必要に応じて脂肪注入でゴルゴラインや法令線を改善!
前後3日(手術日は含まず)、自覚する副反応がなければ可安心麻酔を使用するものは接種後1週間は空ける
前後1週間副反応が残っている場合は延期接種部位と手術部位が同じ場合は2週間は空ける
施術担当者からのコメント
ご覧いただきありがとうございます。
川越院の石丸雄基と申します!
【治療内容】
目の下の切らないクマ・たるみ(ふくらみ)取り+コンデンスリッチフェイス(脂肪注入)目の下・ゴルゴライン
【Dr.まるが選ばれる理由】
・確実な若返り効果
・ダウンタイム最小限にするための麻酔方法
・丁寧なカウンセリング(ご不安がなくなるまで時間をかけます)
・不要なアップセルではなくあくまで必要十分な施術のみで対応
・適正な価格でのご提供
・必要に応じて脂肪注入でゴルゴラインや法令線を改善!