症例写真(No.343076)
当院の症例写真は、画像処理により形や大きさをかえるような処理は一切おこなっておりません。
高橋淳 医師
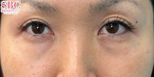
No.343076【若返り】【目の下の切らないたるみ取り+ナチュラル脂肪注射ナノリッチ+ナチュラル脂肪注射コンデンスリッチ】【3ヶ月後】2019年~2023年5年連続でSBC内関東エリア症例数No.1!千葉センシティ院院長 高橋による若返り術!!老けた顔に見える原因となるクマ…その原因である眼窩脂肪を、表からは見えない下まぶたの裏側(経結膜的アプローチ)から除去しました。
すべての画像を見る
施術した院
部位
施術
施術回数
数量
性別




施術担当者からのコメント
====目の下のクマ取り・たるみ取りは��橋医師にお任せください=====
フォトギャラリーをご覧頂きありがとうございます。
40代女性、術後3ヶ月のお客様です。
お客様は目の下のクマに悩んでいらっしゃいました。
術後は目の下のクマが改善されたことで目周りがスッキリとし、疲れ目が解消しました。
【目の下の切らないクマ・たるみ取り】は傷が結膜なので、周囲にばれづらく、
さらに【脂肪注入(若返り)】で凹凸をなめらかにし肌にハリを戻し、
かつ自然な仕上がりになります。
私高橋は
・自然なデザイン
・最小限のダウンタイム
・無痛手術
にこだわっております!
是非、お気軽にご相談下さい。
【 症例数 】SBC内
●二重埋没法 4年連続 関東No.1 (東京除く)(2020~2023年)
●目の下の切らないクマ・たるみ取り 5年連続 関東No.1 (東京除く)(2019~2023年)
●2024年上半期 クイックコスメティーク法 関東No.1 (東京除く)
【 実績 】
●二重埋没法 厳選医師に選出
●目の下の切らないクマ・たるみ(ふくらみ)取り・脂肪注射 厳選医師に選出
現在、千葉センシティ院では、大変お得なモニター様を募集しておりますので、
ぜひご利用下さい。
期間限定・人数限定の格安モニターもありますのでお見逃しなく!
★★★★ SNSやってます ★★★★
■Instagram
インスタの方ではより詳しく&沢山の症例写真を載せています!
@sbc_kuma_takahashi_j
湘南美容外科 千葉センシティ院 0120-955-559