美容外科・美容皮膚科・審美歯科なら湘南美容クリニック
電話予約・電話問い合わせ 10:00~22:45対応 番号を通知してお電話ください 0120-489-100
Instagram
LINE
YouTube
公式アプリ
美容皮膚科
あなたに最適な美容メンテナンスをサポートします!
二重整形
これを見たらあなたも思わず二重にしたくなる♡
医療ダイエット
医療ダイエットをしたらマイナス何センチ?リアルな結果を発信中!
若返り
年齢別・お悩み別で「今やるべき美容医療」がわかる美容医療メディア
クマ取り
クマ取り失敗したくない方必見!成功の秘訣満載★
脂肪吸引
美は武器!夜職女性のための美の総合メディア
予約・お問い合わせ
美容外科 MENU
Language
メインメニュー
診療内容一覧
料金一覧
クリニック案内
ドクター一覧
モニター募集
症例写真
よくある質問
当院が選ばれる理由
当院の症例写真は、画像処理により形や大きさをかえるような処理は一切おこなっておりません。
名取宏記 医師
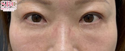
施術前
施術後1ヶ月後
施術した院
部位
施術
施術回数
数量
性別
今回執刀させていただいた手術は、アイバックリムーブ法という目の下のたるみになっている皮膚の切除&目の下ののたるみの原因(眼窩脂肪)の除去を行い目袋と皮膚のたるみを改善する手術です。ナチュラル脂肪注射コンデンスリッチとナノリッチを一緒に行うことで、目元の色味の変化もお分かりいただけると思います。アイバックリムーブ法は、下まぶたまつ毛の下の皮膚を切開する手術です。ただ、抜糸直後の写真を見ていただくと傷跡はほとんど気にならないのが分かるかと思います。まだ傷跡の赤みが少し残っておりますが、3ヶ月後にはさらに赤みもおさまっていくことでしょう^^●なとり医師の目元若返りに「指名」が多い理由●・お客様に本当に必要な施術だけを提案クマ取りの手段は脱脂だけじゃない!「脱脂+脂肪注入」だけの提案をされていませんか?お客様のクマの解決方法は1つではありません。アイバックリムーブ法・裏ハムラ法・皮膚切除など、ご提案できる手術が多岐に渡るなとり医師だからこそ、お客様のクマの適応を的確に診断し、必要な施術をご提案できます。・リピーター多数の人柄名取先生のお客様には、小倉院勤務時代から来てくださるお客様も!医師=質問しにくい、威圧感がありそう…というイメージをお持ちの方もいらっしゃるのではないでしょうか。名取医師はそんな医師のイメージを払拭!名取医師の診察室からは、お客様の楽しそうな笑い声が聞こえることもしばしば。・経験者だからこそ寄り添える!実は名取医師自身も2021年に脱脂+脂肪注入の手術を受けています。だからこそ、お客様のもつ術後の経過や仕上がりに対する不安に対して自身の経験を交えたアドバイスができます。最近疲れるとクマが気になる・・・、長年メイクで隠してきたけど写真を撮られるのが苦手だった・・・など悩んでいた期間は人それぞれ。でも、気になっていらっしゃるのならまずは気軽にカウンセリングに来られませんか?名取医師のクマ取りで「あの頃の目元」に戻りましょう^^なとり先生の人柄は→Tiktokをぜひ♪
施術担当者からのコメント
今回執刀させていただいた手術は、アイバックリムーブ法という目の下のたるみになっている皮膚の切除&目の下ののたるみの原因(眼窩脂肪)の除去を行い目袋と皮膚のたるみを改善する手術です。
ナチュラル脂肪注射コンデンスリッチとナノリッチを一緒に行うことで、目元の色味の変化もお分かりいただけると思います。
アイバックリムーブ法は、下まぶたまつ毛の下の皮膚を切開する手術です。
ただ、抜糸直後の写真を見ていただくと傷跡はほとんど気にならないのが分かるかと思います。まだ傷跡の赤みが少し残っておりますが、3ヶ月後にはさらに赤みもおさまっていくことでしょう^^
●なとり医師の目元若返りに「指名」が多い理由●
・お客様に本当に必要な施術だけを提案
クマ取りの手段は脱脂だけじゃない!「脱脂+脂肪注入」だけの提案をされていませんか?お客様のクマの解決方法は1つではありません。アイバックリムーブ法・裏ハムラ法・皮膚切除など、ご提案できる手術が多岐に渡るなとり医師だからこそ、お客様のクマの適応を的確に診断し、必要な施術をご提案できます。
・リピーター多数の人柄
名取先生のお客様には、小倉院勤務時代から来てくださるお客様も!医師=質問しにくい、威圧感がありそう…というイメージをお持ちの方もいらっしゃるのではないでしょうか。名取医師はそんな医師のイメージを払拭!名取医師の診察室からは、お客様の楽しそうな笑い声が聞こえることもしばしば。
・経験者だからこそ寄り添える!実は名取医師自身も2021年に脱脂+脂肪注入の手術を受けています。だからこそ、お客様のもつ術後の経過や仕上がりに対する不安に対して自身の経験を交えたアドバイスができます。
最近疲れるとクマが気になる・・・、長年メイクで隠してきたけど写真を撮られるのが苦手だった・・・など悩んでいた期間は人それぞれ。でも、気になっていらっしゃるのならまずは気軽にカウンセリングに来られませんか?
名取医師のクマ取りで「あの頃の目元」に戻りましょう^^
なとり先生の人柄は→Tiktokをぜひ♪