症例写真(No.344250)

当院の症例写真は、画像処理により形や大きさをかえるような処理は一切おこなっておりません。

名倉俊輔 医師

No.344250【若返り】◆◆目元切開厳選医師の名倉が叶える -5歳!! 眉下リフト◆◆瞼のたるみでお悩みの方必見!!★1ヶ月後のお写真

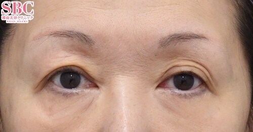
施術前

施術前です。
→

施術後1ヶ月後

施術後です。自然に目元がスッキリしました。
すべての画像を見る

施術した院

部位

施術

施術回数

数量

性別

関連症例写真

施術前です。
施術後です。自然に目元がスッキリしました。

施術担当者からのコメント

日本美容外科学会認定専門医の名倉俊輔です。
秋葉原院にて日々美容医療に全力で取り組んでいます。

【モニターのお客様】
60代 女性
眉下リフト

「結果にこだわる」これが私の診療方針です。
人の顔にメスを入れることが許されているのは医師だけです。
このことを真摯に受け止め、日々技術の向上に努めています。

【実績】
・2年連続 総合日本1位美容外科医(2023?2024年)
・脂肪吸引エキスパートドクターに選出(1人 / 465人中)
・若返りエキスパートドクターに選出(1人 / 465人中)
・目元切開手術 厳選医師に選出
・整形シンデレラ 全顔トータルビューティーの大会で2連覇
・マイアミ、パリ、上海、バンコクなどでの国際学会講演

【症例数 全国No.1】
★輪郭手術症例数 全分野で全国No.1★
・顔の脂肪吸引 6年連続全国No.1 (2018~2023年)
・脂肪吸引 4年連続全国No.1 (2020~2023年)
・バッカルファット除去 6年連続全国No.1 (2018~2023年)
・糸リフト 5年連続全国1位 (2019~2023年)
※SBC医師465名中

★★★Instagramやっています★★★

さまざまな年齢・輪郭タイプの症例を載せております!
ぜひチェックしてみてください!



×

当院におけるワクチン接種後の治療間隔(ガイドライン)

美容皮膚科、美容外科小手術

前後3日(手術日は含まず)、自覚する副反応がなければ可
安心麻酔を使用するものは接種後1週間は空ける

美容外科中、大手術

前後1週間
副反応が残っている場合は延期
接種部位と手術部位が同じ場合は2週間は空ける