美容外科・美容皮膚科・審美歯科なら湘南美容クリニック
電話予約・電話問い合わせ 10:00~22:45対応 番号を通知してお電話ください 0120-489-100
Instagram
LINE
YouTube
公式アプリ
美容皮膚科
あなたに最適な美容メンテナンスをサポートします!
二重整形
これを見たらあなたも思わず二重にしたくなる♡
医療ダイエット
医療ダイエットをしたらマイナス何センチ?リアルな結果を発信中!
若返り
年齢別・お悩み別で「今やるべき美容医療」がわかる美容医療メディア
クマ取り
クマ取り失敗したくない方必見!成功の秘訣満載★
脂肪吸引
美は武器!夜職女性のための美の総合メディア
予約・お問い合わせ
美容外科 MENU
Language
メインメニュー
診療内容一覧
料金一覧
クリニック案内
ドクター一覧
モニター募集
症例写真
よくある質問
当院が選ばれる理由
当院の症例写真は、画像処理により形や大きさをかえるような処理は一切おこなっておりません。
古澤雅史 医師
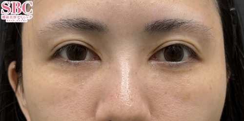
施術前
施術後1ヶ月後
施術した院
部位
施術
施術回数
数量
性別
目の下の切らないクマ・たるみ(ふくらみ)取り・脂肪注射部門で厳選医師に選ばれました!(400人以上のドクターの中から19名)施術名:目の下の切らないクマ たるみ取り 両目ナチュラル脂肪注射 コンデンスリッチ(目の下+ゴルゴ線)【症例解説】20代後半の女性て?す。目の下のクマが気になり始めてきたというご相談でした。キレイな仕上がりに大変ご満足いただけました。※副作用(リスク)腫れ、内出血、血腫、左右差〜Dr.古澤か?選は?れる理由〜私が、6年連続で若返り施術で日本一を取り続けたのには、理由があります。クマ治療厳選医師でもあり、美容外科歴10年以上の経歴から得たテ?サ?イン力×技術×知識×経験です。お客様の希望を限りなく叶えるため、一切の妥協はしません。と?のト?クターよりも時間をかけ、丁寧に、そして、お客様か?納得行くまて?テ?サ?イン〜施術をしてます。究極に計算し尽くされた美容整形は私にお任せくた?さい。■モニター割当院では、モニターの方を募集しております。https://www.s-b-c.net/k_campaign/campaign137-0007.html詳しくは無料カウンセリングでご相談ください。湘南美容クリニック池袋メトロポリタン口院0120-232-377(AM10:00~PM11:00 土日祝日も対応)??診療時間AM10:00~PM7:00予約制(最終カウンセリング予約/17:30)??住所東京都豊島区西池袋1丁目10-8サン・グロウビル7F池袋駅メトロポリタン口から徒歩2分
施術担当者からのコメント
目の下の切らないクマ・たるみ(ふくらみ)取り・脂肪注射部門で厳選医師に選ばれました!(400人以上のドクターの中から19名)
施術名:
目の下の切らないクマ たるみ取り 両目
ナチュラル脂肪注射 コンデンスリッチ(目の下+ゴルゴ線)
【症例解説】
20代後半の女性て?す。
目の下のクマが気になり始めてきたというご相談でした。
キレイな仕上がりに大変ご満足いただけました。
※副作用(リスク)
腫れ、内出血、血腫、左右差
〜Dr.古澤か?選は?れる理由〜
私が、6年連続で若返り施術で日本一を取り続けたのには、理由があります。
クマ治療厳選医師でもあり、美容外科歴10年以上の経歴から得たテ?サ?イン力×技術×知識×経験です。
お客様の希望を限りなく叶えるため、一切の妥協はしません。
と?のト?クターよりも時間をかけ、丁寧に、そして、お客様か?納得行くまて?テ?サ?イン〜施術をしてます。
究極に計算し尽くされた美容整形は私にお任せくた?さい。
■モニター割
当院では、モニターの方を募集しております。
https://www.s-b-c.net/k_campaign/campaign137-0007.html
詳しくは無料カウンセリングでご相談ください。
湘南美容クリニック
池袋メトロポリタン口院
0120-232-377
(AM10:00~PM11:00 土日祝日も対応)
??診療時間
AM10:00~PM7:00予約制
(最終カウンセリング予約/17:30)
??住所
東京都豊島区西池袋1丁目10-8
サン・グロウビル7F
池袋駅メトロポリタン口から徒歩2分