お急ぎの方はお電話ください
WEB予約
メンズ専用
LINE登録
オンラインストア
SBC e Gift
SBC公式アプリ
SBC 採用サイト
医療機関検索サイトアイメッド
定額制セルフエステ
当院の症例写真は、画像処理により形や大きさをかえるような処理は一切おこなっておりません。
仲村将幸 医師
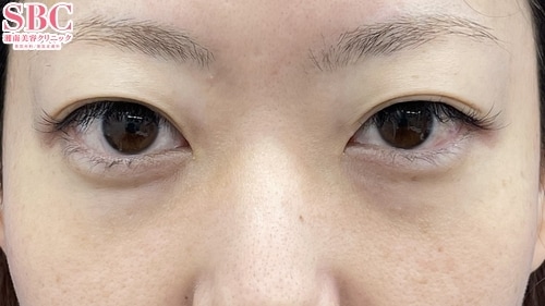
施術前
施術後1ヶ月後
施術した院
部位
施術
施術回数
数量
性別
◎博多の仲村が選ばれる理由◎■SBCで数々の受賞歴を持つベテランDr★コンデンスリッチ脂肪注入豊胸 全国No.1(2024年下半期SBC内症例件数)★脂肪注入豊胸 九州沖縄 5年連続1位(2020上半期?2024年下半期)★シリコンバッグ豊胸 九州沖縄 3年連続1位 (2022年上半期?2024年下半期)★アキーセル脂肪吸引 西日本 2年連続1位(2023年上半期?2024年下半期)■2022年SBC全国370人以上の医師の中から顧客満足度 九州No.1■SBCベテラン医師のみ出場できる【ザ・リアルドクター】決勝に出場【脂肪吸引部門】では〈足が長く見える脂肪吸引〉【豊胸部門】でも選ばれ<神業ドクター>として紹介されました!ーーーーーーーーーーーーー豊胸を含むボディメイクにおいて高い専門知識を身に付け、多くの女性が抱く「もっときれいになりたい」という願望を叶えるお手伝いをしています。容姿が変わることで内面からの魅力が引き出され、それが仕事や人間関係に良い影響を与え、生活の質を向上させることができます。お客様とのコミュニケーションを非常に大切にし、カウンセリングではお客様が話しやすく希望を伝えやすい雰囲気を心がけています。豊胸をはじめとするボディメイクはぜひ、博多院の仲村へお任せください。◎◎Instagramに多くの症例を掲載◎◎博多院仲村のアカウント:@sbc_shoko↓のInstagramアイコンからもご覧になれます。◎◎YOUTUBEにお客様のお悩み解決動画や手術レポートを掲載◎◎『【仲村将幸の豊胸ちゃんねる】福岡で豊胸・脂肪吸引するなら湘南美容クリニック博多院』で検索くださいませ。ご予約は【0120-612-322】カウンセリング無料です。お待ちしております!
前後3日(手術日は含まず)、自覚する副反応がなければ可安心麻酔を使用するものは接種後1週間は空ける
前後1週間副反応が残っている場合は延期接種部位と手術部位が同じ場合は2週間は空ける
施術担当者からのコメント
◎博多の仲村が選ばれる理由◎
■SBCで数々の受賞歴を持つベテランDr
★コンデンスリッチ脂肪注入豊胸 全国No.1(2024年下半期SBC内症例件数)
★脂肪注入豊胸 九州沖縄 5年連続1位(2020上半期?2024年下半期)
★シリコンバッグ豊胸 九州沖縄 3年連続1位 (2022年上半期?2024年下半期)
★アキーセル脂肪吸引 西日本 2年連続1位(2023年上半期?2024年下半期)
■2022年SBC全国370人以上の医師の中から
顧客満足度 九州No.1
■SBCベテラン医師のみ出場できる【ザ・リアルドクター】決勝に出場
【脂肪吸引部門】では〈足が長く見える脂肪吸引〉
【豊胸部門】でも選ばれ<神業ドクター>として紹介されました!
ーーーーーーーーーーーーー
豊胸を含むボディメイクにおいて高い専門知識を身に付け、多くの女性が抱く「もっときれいになりたい」という願望を叶えるお手伝いをしています。容姿が変わることで内面からの魅力が引き出され、それが仕事や人間関係に良い影響を与え、生活の質を向上させることができます。
お客様とのコミュニケーションを非常に大切にし、カウンセリングではお客様が話しやすく希望を伝えやすい雰囲気を心がけています。
豊胸をはじめとするボディメイクはぜひ、博多院の仲村へお任せください。
◎◎Instagramに多くの症例を掲載◎◎
博多院仲村のアカウント:@sbc_shoko
↓のInstagramアイコンからもご覧になれます。
◎◎YOUTUBEにお客様のお悩み解決動画や手術レポートを掲載◎◎
『【仲村将幸の豊胸ちゃんねる】福岡で豊胸・脂肪吸引するなら湘南美容クリニック博多院』で検索くださいませ。
ご予約は【0120-612-322】カウンセリング無料です。お待ちしております!