美容外科・美容皮膚科・審美歯科なら湘南美容クリニック
電話予約・電話問い合わせ 10:00~22:45対応 番号を通知してお電話ください 0120-489-100
Instagram
LINE
YouTube
公式アプリ
美容皮膚科
あなたに最適な美容メンテナンスをサポートします!
二重整形
これを見たらあなたも思わず二重にしたくなる♡
医療ダイエット
医療ダイエットをしたらマイナス何センチ?リアルな結果を発信中!
若返り
年齢別・お悩み別で「今やるべき美容医療」がわかる美容医療メディア
クマ取り
クマ取り失敗したくない方必見!成功の秘訣満載★
脂肪吸引
美は武器!夜職女性のための美の総合メディア
予約・お問い合わせ
美容外科 MENU
Language
メインメニュー
診療内容一覧
料金一覧
クリニック案内
ドクター一覧
モニター募集
症例写真
よくある質問
当院が選ばれる理由
当院の症例写真は、画像処理により形や大きさをかえるような処理は一切おこなっておりません。
河野冴香 医師
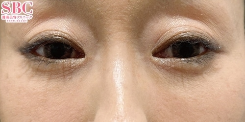
施術前
施術後1ヶ月後
施術した院
部位
施術
施術回数
数量
性別
◯‥∵‥‥∵‥‥∵‥‥∵‥‥∵‥‥∵‥◯ご覧頂きありがとうございます。辻堂アカデミア院長の河野さえかです。\こちらのモニター様/40代・女性目の下の切らないクマたるみ取り+コンデンスリッチフェイス(目の下?ゴルゴライン)直後からお客様が不安がられないように腫れ・内出血を最小限に抑えるよう工夫を凝らして丁寧に施術しております。第一印象は目元で決まります!マスクをしていると尚更!目の下のクマはあなたの第一印象を台無しにしているかもしれません…クマが気になりはじめたらお気軽に無料カウンセリングへお越しください!“クマ取り” は▽▼こんな方にオススメ▼▽・メイクではクマが隠せない・実年齢より老けて見られる・疲れて見られることが増えた・クマのせいでお顔が暗く見える・膨らみのあるクマがあり目の下に影ができるなどカウンセリングのお時間を大切にしお一人おひとりのお目元のご状態を見ながらクマのない若々しい好印象なお目元へ導きます。その他症例もインスタグラムに投稿してますのでそちらもぜひご覧ください!アカウント:@sbc_saekaクリニックアカウント:@sbc_tsujidoacademia▽▼【 WEB予約 】ご予約方法▼▽ HP上から「モニター募集に応募する」をクリック▽▼【 TEL 】ご予約方法▼▽フリーダイアル0120-546-693で辻堂アカデミア院に電話する河野医師のモニター番号 [ No.101-0942 ] をお伝えください無料で医師指名も承っております!カウンセリングは何度でも無料です!まだ悩まれている方・ひとまず話を聞いてから考えたいという方も大歓迎です!お気軽にご相談ください^^◯‥∵‥‥∵‥‥∵‥‥∵‥‥∵‥‥∵‥◯
施術担当者からのコメント
◯‥∵‥‥∵‥‥∵‥‥∵‥‥∵‥‥∵‥◯
ご覧頂きありがとうございます。
辻堂アカデミア院長の河野さえかです。
\こちらのモニター様/
40代・女性
目の下の切らないクマたるみ取り+コンデンスリッチフェイス(目の下?ゴルゴライン)
直後からお客様が不安がられないように
腫れ・内出血を最小限に抑えるよう
工夫を凝らして丁寧に施術しております。
第一印象は目元で決まります!
マスクをしていると尚更!
目の下のクマは
あなたの第一印象を台無しにしているかもしれません…
クマが気になりはじめたら
お気軽に無料カウンセリングへ
お越しください!
“クマ取り” は
▽▼こんな方にオススメ▼▽
・メイクではクマが隠せない
・実年齢より老けて見られる
・疲れて見られることが増えた
・クマのせいでお顔が暗く見える
・膨らみのあるクマがあり目の下に影ができる
など
カウンセリングのお時間を大切にし
お一人おひとりのお目元のご状態を見ながら
クマのない若々しい好印象なお目元へ導きます。
その他症例もインスタグラムに投稿してますので
そちらもぜひご覧ください!
アカウント:@sbc_saeka
クリニックアカウント:@sbc_tsujidoacademia
▽▼【 WEB予約 】ご予約方法▼▽
HP上から「モニター募集に応募する」をクリック
▽▼【 TEL 】ご予約方法▼▽
フリーダイアル0120-546-693で辻堂アカデミア院に電話する
河野医師のモニター番号 [ No.101-0942 ] をお伝えください
無料で医師指名も承っております!
カウンセリングは何度でも無料です!
まだ悩まれている方・ひとまず話を聞いてから考えたいという方も
大歓迎です!
お気軽にご相談ください^^
◯‥∵‥‥∵‥‥∵‥‥∵‥‥∵‥‥∵‥◯