症例写真(No.346863)

当院の症例写真は、画像処理により形や大きさをかえるような処理は一切おこなっておりません。

菅原佑太 医師

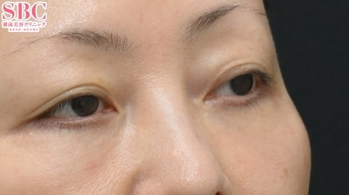
No.346863【若返り】【術前→1か月】50代女性 目の下の膨らみ・凹み・小じわには裏ハムラ+ナノリッチがオススメ!

施術前

目の下の膨らみ・凹み・小じわでご相談頂きました
→

施術後1ヶ月後

目元がきれいになり、明るい印象になりました
すべての画像を見る

施術した院

部位

施術

施術回数

数量

性別

関連症例写真

1週間
3か月後
術前
1か月後
術前
1か月

施術担当者からのコメント

【施術内容】裏ハムラ法(両目)+ナノリッチ(目の下)

50代女性 目の下の膨らみと凹みが気になるとご相談頂きました。根本的な治療を希望されたので、裏ハムラ法で施術させていただきました。また、脂肪移動後の小じわの改善、色味の改善目的に、ナノリッチも施術しています。裏ハムラ法は、もとからある眼窩脂肪を利用することで、目元の若返りを叶えることが出来ます。脂肪注入と違い、定着率を気にする必要がないため、安定した治療効果が得られます。また、内出血が極力でないように工夫しており、この方も術後1週間でほとんど腫れがわからない程度にまで落ち着いています。1-3か月の経過もとてもきれいです。これからの人生が楽しみですね!ご本人にも、若返ったと喜んでいただけました。手術お疲れさまでした!

目の下に関しては、多くの方は、眼窩脂肪の膨らみだけでなく、その下の靭帯による凹みによって、目の下のクマが強く見えてしまっています。両方の改善をはかることで、より綺麗な目元になっていきます。皮膚のたるみ具合や、気になる色味によっては、切開ハムラ、アイバックリムーブなど、ほかの施術をご案内することもあります。切開せずに小じわの治療もしたい場合や、目の下の青み・赤みの治療をしたい場合は、ナノリッチの併用がオススメです。また、ほかの部位の若返りも希望があれば、脂肪注入を併用することもあります。
カウンセリングは無料ですので、いつでもご相談ください。「菅原医師のカウンセリング希望、モニター希望」など、と伝えいただくと、スムーズです。
0120-077-321
モニターNo.187-0061
モニター料金 233,840円(税込) 裏ハムラのみの料金です 麻酔代は別途かかります



×

当院におけるワクチン接種後の治療間隔(ガイドライン)

美容皮膚科、美容外科小手術

前後3日(手術日は含まず)、自覚する副反応がなければ可
安心麻酔を使用するものは接種後1週間は空ける

美容外科中、大手術

前後1週間
副反応が残っている場合は延期
接種部位と手術部位が同じ場合は2週間は空ける

×

お急ぎの方はお電話ください

0120-489-100

受付時間 / 10:00~23:00