美容外科・美容皮膚科・審美歯科なら湘南美容クリニック
電話予約・電話問い合わせ 10:00~22:45対応 番号を通知してお電話ください 0120-489-100
Instagram
LINE
YouTube
公式アプリ
美容皮膚科
あなたに最適な美容メンテナンスをサポートします!
二重整形
これを見たらあなたも思わず二重にしたくなる♡
医療ダイエット
医療ダイエットをしたらマイナス何センチ?リアルな結果を発信中!
若返り
年齢別・お悩み別で「今やるべき美容医療」がわかる美容医療メディア
クマ取り
クマ取り失敗したくない方必見!成功の秘訣満載★
脂肪吸引
美は武器!夜職女性のための美の総合メディア
予約・お問い合わせ
美容外科 MENU
Language
メインメニュー
診療内容一覧
料金一覧
クリニック案内
ドクター一覧
モニター募集
症例写真
よくある質問
当院が選ばれる理由
当院の症例写真は、画像処理により形や大きさをかえるような処理は一切おこなっておりません。
須見亮祐 医師
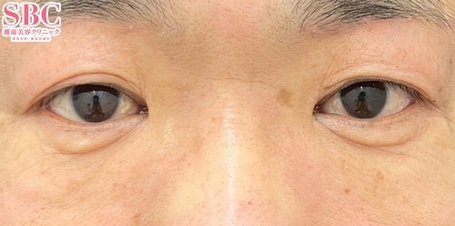
施術前
施術後3ヶ月後
施術した院
部位
施術
施術回数
数量
性別
【若返り】50代男性・切開ハムラ(クマ取り)、眉下リフト【術後3ヶ月】ご紹介するお客様は【50代男性】の方です。目の下のクマ・たるみ(ふくらみ)、瞼のたるみに悩まれていました。今回受けられた施術は【切開ハムラ(クマ取り)】【眉下リフト】です。【手術前、3ヶ月後】の写真をご覧ください。とても自然で綺麗なお目元に仕上がっています。クマやたるみはもう目立たず、眉下リフトも併用したことで瞼のたるみが改善し、全体的にお目元がスッキリしました!クマや目の下のたるみの原因は人それぞれ。大きさ、色味、凹み方が同じ方はいません。だからこそ須見院長のカウンセリングでは、状態をじっくり確認し、希望やお悩みに寄り添いながら一人一人に合ったクマ治療を提案しています。数多くのクマ治療を経験してきた須見院長だからこそ、アナタのクマの状態を見極めることができるのです。激戦区「東京」で培った須見院長だからできるクマ治療を提供します。美容医療で外見が変わることで自信を持ち、その自信が周囲の評価を変え、好循環を生むと信じています。治療を受けることで人生が変わります。一緒に理想的なお目元を作りましょう!!【切開ハムラ(クマ取り)】眼球を支えている眼窩脂肪が前方に突出してくることが原因で生じる目の下のクマ・たるみ(ふくらみ)を改善させ、目まわりの印象を若返らせる治療です。目立ちづらい下まぶたのまつ毛の際から皮膚を切開し、膨らんでいる部分からくぼんでいる部分に眼窩脂肪を移動させることで、膨らみと溝を同時にフラットにすることができるため、眼窩脂肪を切り離すことなくクマを改善することができます。\こんな方におすすめ/・目の下のクマが気になる方・ 膨らみが大きい方・皮膚の余りが気になる方【眉下リフト】眉下リフト(眉下切開)は、眉下のたるんだ皮膚を切開して引き上げる、たるみ改善の施術です。\こんな方におすすめ/・加齢によるまぶたのたるみが気になる方・ダウンタイムを最小限にして眼瞼下垂を治したい方心よりご来院をお待ちしております!下記の私のインスタグラムもぜひ参考にしてみてください。湘南美容クリニック本厚木院 院長 須見亮祐★★話題のSNSはコチラ★★クマ取り専用インスタグラム:@sbc_sumi
施術担当者からのコメント
【若返り】50代男性・切開ハムラ(クマ取り)、眉下リフト【術後3ヶ月】
ご紹介するお客様は【50代男性】の方です。
目の下のクマ・たるみ(ふくらみ)、瞼のたるみに悩まれていました。
今回受けられた施術は【切開ハムラ(クマ取り)】【眉下リフト】です。
【手術前、3ヶ月後】の写真をご覧ください。
とても自然で綺麗なお目元に仕上がっています。
クマやたるみはもう目立たず、眉下リフトも併用したことで瞼のたるみが改善し、
全体的にお目元がスッキリしました!
クマや目の下のたるみの原因は人それぞれ。
大きさ、色味、凹み方が同じ方はいません。
だからこそ須見院長のカウンセリングでは、状態をじっくり確認し、
希望やお悩みに寄り添いながら一人一人に合ったクマ治療を提案しています。
数多くのクマ治療を経験してきた須見院長だからこそ、
アナタのクマの状態を見極めることができるのです。
激戦区「東京」で培った須見院長だからできるクマ治療を提供します。
美容医療で外見が変わることで自信を持ち、
その自信が周囲の評価を変え、好循環を生むと信じています。
治療を受けることで人生が変わります。
一緒に理想的なお目元を作りましょう!!
【切開ハムラ(クマ取り)】
眼球を支えている眼窩脂肪が前方に突出してくることが原因で生じる
目の下のクマ・たるみ(ふくらみ)を改善させ、目まわりの印象を若返らせる治療です。
目立ちづらい下まぶたのまつ毛の際から皮膚を切開し、
膨らんでいる部分からくぼんでいる部分に眼窩脂肪を移動させることで、
膨らみと溝を同時にフラットにすることができるため、
眼窩脂肪を切り離すことなくクマを改善することができます。
\こんな方におすすめ/
・目の下のクマが気になる方
・ 膨らみが大きい方
・皮膚の余りが気になる方
【眉下リフト】
眉下リフト(眉下切開)は、眉下のたるんだ皮膚を切開して引き上げる、たるみ改善の施術です。
\こんな方におすすめ/
・加齢によるまぶたのたるみが気になる方
・ダウンタイムを最小限にして眼瞼下垂を治したい方
心よりご来院をお待ちしております!
下記の私のインスタグラムもぜひ参考にしてみてください。
湘南美容クリニック本厚木院 院長 須見亮祐
★★話題のSNSはコチラ★★
クマ取り専用インスタグラム:@sbc_sumi