症例写真(No.348599)

当院の症例写真は、画像処理により形や大きさをかえるような処理は一切おこなっておりません。

高川裕也 医師

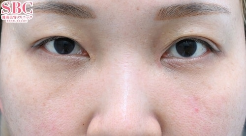
No.348599【若返り】【お客様満足度No.1受賞※】 圧倒的な実績を誇るベテランドクター高川医師のクマ治療【脱脂術+脂肪注入】※2020年SBC内

施術前

施術前
→

施術後3ヶ月後

-5歳の若返りを実現
すべての画像を見る

施術した院

部位

施術

施術回数

数量

性別

関連症例写真

施術前
3ヶ月後
施術前
3ヶ月後

施術担当者からのコメント

【クマ取り名医高川があなたの目元を最大限美しくします】
最短ダウンタイム×色改善スペシャリストとして全国から指名殺到中!!

こんなお悩みありませんか?

・なぜか疲れて見える
・年齢より老けて見える
・涙袋がない
・目の下に凹凸がある
・メイクをしてもクマが隠れない
・1度クマ取りをしたがまだ気になる…

一つでも当てはまった方はクマ治療が適用の可能性がございます。
一度ご相談にお越しください。

クマ治療で特に大事なのはドクター選びです。
僕は湘南美容クリニック全国128院・在籍医師は400名以上の中で、クマ治療の部門で多くの受賞歴がございます。

・2020年SBCアワードお客様満足度全国No 1
・目の下の切らないクマ取り中部No.1 (2024上半期sbc内症例数)
・裏ハムラ法全国No.2 (2023下半期sbc内症例数)
・PRP全国No.1 (2024上半期sbc内症例数)

3,700件以上の症例から生まれた確かな技術で、15年もの間名古屋の地で選ばれ続けています。
修正のご相談も対応しておりますので、お気軽にカウンセリングへお越しください。

他の症例はこちらから↓
https://www.instagram.com/sbc_tg_kuma/



×

当院におけるワクチン接種後の治療間隔(ガイドライン)

美容皮膚科、美容外科小手術

前後3日(手術日は含まず)、自覚する副反応がなければ可
安心麻酔を使用するものは接種後1週間は空ける

美容外科中、大手術

前後1週間
副反応が残っている場合は延期
接種部位と手術部位が同じ場合は2週間は空ける