美容外科・美容皮膚科・審美歯科なら湘南美容クリニック
電話予約・電話問い合わせ 10:00~22:45対応 番号を通知してお電話ください 0120-489-100
Instagram
LINE
YouTube
公式アプリ
美容皮膚科
あなたに最適な美容メンテナンスをサポートします!
二重整形
これを見たらあなたも思わず二重にしたくなる♡
医療ダイエット
医療ダイエットをしたらマイナス何センチ?リアルな結果を発信中!
若返り
年齢別・お悩み別で「今やるべき美容医療」がわかる美容医療メディア
クマ取り
クマ取り失敗したくない方必見!成功の秘訣満載★
脂肪吸引
美は武器!夜職女性のための美の総合メディア
予約・お問い合わせ
美容外科 MENU
Language
メインメニュー
診療内容一覧
料金一覧
クリニック案内
ドクター一覧
モニター募集
症例写真
よくある質問
当院が選ばれる理由
当院の症例写真は、画像処理により形や大きさをかえるような処理は一切おこなっておりません。
吉田公人 医師
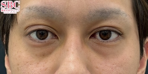
施術前
施術後1ヶ月後
施術した院
部位
施術
施術回数
数量
性別
施術内容(30代男性)・裏ハムラ法膨らんでいる部分からくぼんでいる部分に眼窩脂肪を移動させることで、膨らみと溝を同時に改善!さらに脂肪移動だけでは足りない部分を脂肪注入で補い、自然に美しい仕上がりに?元脳神経外科医の経験を活かした繊細な手技で、ダウンタイム最小限のクマ取りを叶えます!クマ治療は年齢や性別を問わず人気な治療です!ぜひ湘南美容クリニックの吉田公人(まさと)にご相談下さい!---------------------------【実績】・ クマ取り症例数6年連続SBC内関西No.1 (2019~2024年)・ 2024年度リアルドクター神業に出演 (全国医師421名の中から選抜されました)・クマ取り厳選医師【吉田医師が選ばれる理由】★クマ取り症例数6年連続SBC内関西No.1 (2019~2024年)→ 執刀経験数が多いほど、クマ取りの技術力は磨かれていきます。数多くの症例実績に裏付けられた、仕上がりの綺麗さでお友達紹介も多数。★元脳神経外科医→ 1mm以下の世界で培った道具や指の使い方で、安心安全且つ、スピーディに施術を行い「ダウンタイム最小限」の治療をご提供。★仕上がりの綺麗さ→ クマ取りは「脂肪を取る量」や「脂肪を入れる位置」など非常に繊細な職人技が必要です。それらが適切でなければ、脂肪注入の際にシコリができてしまったりします。吉田医師は数多くの実績と長年の外科医の経験を生かし、滑らかで綺麗な仕上がりをご提供いたします。【ダウンタイム】個人差はありますが術後数日をピークに痛み・異物感・目脂腫れが生じ、およそ1〜2週間で落ち着きます。内出血はコンシーラーなどで隠れる程度です。コンタクト:1週間後からOK洗顔:当日より目元以外はOKシャワー: 当日より首から下はOKメイク: 翌日からOK若返り治療やクマ取りが気になるけど自分に合った治療法がわからないという方はお気軽にご相談ください!YouTubeでも解説中です!・・・instagramやってます・・・インスタにも沢山の症例写真を載せています!是非チェックしてみて下さい♪@sbc_yoshida_masato≪↑↑上の「instagram」アイコンから飛べます↑↑≫
施術担当者からのコメント
施術内容(30代男性)
・裏ハムラ法
膨らんでいる部分からくぼんでいる部分に眼窩脂肪を移動させることで、膨らみと溝を同時に改善!
さらに脂肪移動だけでは足りない部分を脂肪注入で補い、自然に美しい仕上がりに?
元脳神経外科医の経験を活かした繊細な手技で、ダウンタイム最小限のクマ取りを叶えます!
クマ治療は年齢や性別を問わず人気な治療です!ぜひ湘南美容クリニックの吉田公人(まさと)にご相談下さい!
---------------------------
【実績】
・ クマ取り症例数6年連続SBC内関西No.1 (2019~2024年)
・ 2024年度リアルドクター神業に出演 (全国医師421名の中から選抜されました)
・クマ取り厳選医師
【吉田医師が選ばれる理由】
★クマ取り症例数6年連続SBC内関西No.1 (2019~2024年)
→ 執刀経験数が多いほど、クマ取りの技術力は磨かれていきます。
数多くの症例実績に裏付けられた、仕上がりの綺麗さでお友達紹介も多数。
★元脳神経外科医
→ 1mm以下の世界で培った道具や指の使い方で、安心安全且つ、スピーディに施術を行い「ダウンタイム最小限」の治療をご提供。
★仕上がりの綺麗さ
→ クマ取りは「脂肪を取る量」や「脂肪を入れる位置」など非常に繊細な職人技が必要です。
それらが適切でなければ、脂肪注入の際にシコリができてしまったりします。
吉田医師は数多くの実績と長年の外科医の経験を生かし、滑らかで綺麗な仕上がりをご提供いたします。
【ダウンタイム】
個人差はありますが術後数日をピークに痛み・異物感・目脂腫れが生じ、およそ1〜2週間で落ち着きます。
内出血はコンシーラーなどで隠れる程度です。
コンタクト:1週間後からOK
洗顔:当日より目元以外はOK
シャワー: 当日より首から下はOK
メイク: 翌日からOK
若返り治療やクマ取りが気になるけど自分に合った治療法がわからないという方はお気軽にご相談ください!
YouTubeでも解説中です!
・・・instagramやってます・・・
インスタにも沢山の症例写真を載せています!
是非チェックしてみて下さい♪
@sbc_yoshida_masato
≪↑↑上の「instagram」アイコンから飛べます↑↑≫