美容外科・美容皮膚科・審美歯科なら湘南美容クリニック
電話予約・電話問い合わせ 10:00~22:45対応 番号を通知してお電話ください 0120-489-100
Instagram
LINE
YouTube
公式アプリ
美容皮膚科
あなたに最適な美容メンテナンスをサポートします!
二重整形
これを見たらあなたも思わず二重にしたくなる♡
医療ダイエット
医療ダイエットをしたらマイナス何センチ?リアルな結果を発信中!
若返り
年齢別・お悩み別で「今やるべき美容医療」がわかる美容医療メディア
クマ取り
クマ取り失敗したくない方必見!成功の秘訣満載★
脂肪吸引
美は武器!夜職女性のための美の総合メディア
予約・お問い合わせ
美容外科 MENU
Language
メインメニュー
診療内容一覧
料金一覧
クリニック案内
ドクター一覧
モニター募集
症例写真
よくある質問
当院が選ばれる理由
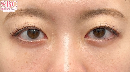
当院の症例写真は、画像処理により形や大きさをかえるような処理は一切おこなっておりません。
中溝晃規 医師
施術前
施術後3ヶ月後
施術した院
部位
施術
施術回数
数量
性別
裏ハムラ法は切らないクマ・たるみ取りのアップグレード版です。普通は取り除いてしまう眼窩脂肪という目の下のふくらみをそのまま下の凹みの穴埋めに利用することで、効率よくクマ治療が行えます。ただし、全員がこのクマ取りの術式を受けられるわけではないため、気になる方はまずカウンセリングにお越し頂いて診察を受けてください。目の状態をしっかり見せていただいたのちにお客様に合った術式をご提案致します。----------------------------------------裏ハムラは非常に人気の高い治療になります。人気の理由は数多くのメリットにあります。・目の下のふくらみが改善する・その下にある凹みも改善する・深い溝も靭帯処理により改善させやすい・脂肪の生着率が非常に高い・シワが悪化しにくい・再発しにくい・クマ取りによる目の上の凹みが起きにくいなどなどです。ただし、全員がこのクマ取りの術式を受けられるわけではないため、気になる方はまずカウンセリングにお越し頂いて診察を受けてください。目の状態をしっかり見せていただいたのちにお客様に合った術式をご提案致します。
施術担当者からのコメント
裏ハムラ法は切らないクマ・たるみ取りのアップグレード版です。普通は取り除いてしまう眼窩脂肪という目の下のふくらみをそのまま下の凹みの穴埋めに利用することで、効率よくクマ治療が行えます。
ただし、全員がこのクマ取りの術式を受けられるわけではないため、気になる方はまずカウンセリングにお越し頂いて診察を受けてください。
目の状態をしっかり見せていただいたのちにお客様に合った術式をご提案致します。
----------------------------------------
裏ハムラは非常に人気の高い治療になります。
人気の理由は数多くのメリットにあります。
・目の下のふくらみが改善する
・その下にある凹みも改善する
・深い溝も靭帯処理により改善させやすい
・脂肪の生着率が非常に高い
・シワが悪化しにくい
・再発しにくい
・クマ取りによる目の上の凹みが起きにくい
などなどです。
ただし、全員がこのクマ取りの術式を受けられるわけではないため、気になる方はまずカウンセリングにお越し頂いて診察を受けてください。
目の状態をしっかり見せていただいたのちにお客様に合った術式をご提案致します。