美容外科・美容皮膚科・審美歯科なら湘南美容クリニック
電話予約・電話問い合わせ 10:00~22:45対応 番号を通知してお電話ください 0120-489-100
Instagram
LINE
YouTube
公式アプリ
美容皮膚科
あなたに最適な美容メンテナンスをサポートします!
二重整形
これを見たらあなたも思わず二重にしたくなる♡
医療ダイエット
医療ダイエットをしたらマイナス何センチ?リアルな結果を発信中!
若返り
年齢別・お悩み別で「今やるべき美容医療」がわかる美容医療メディア
クマ取り
クマ取り失敗したくない方必見!成功の秘訣満載★
脂肪吸引
美は武器!夜職女性のための美の総合メディア
予約・お問い合わせ
美容外科 MENU
Language
メインメニュー
診療内容一覧
料金一覧
クリニック案内
ドクター一覧
モニター募集
症例写真
よくある質問
当院が選ばれる理由
当院の症例写真は、画像処理により形や大きさをかえるような処理は一切おこなっておりません。
古澤雅史 医師
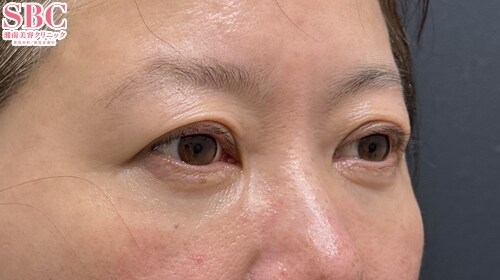
施術前
施術後3週間後
施術した院
部位
施術
施術回数
数量
性別
糸リフト部門で全国おすすめドクターに選抜されております!施術名:切らないブローリフト(3Dリフト)術後3週間モニター募集→https://www.s-b-c.net/k_campaign/campaign137-0005.html【症例解説】50代女性です。上まぶた外側のたるみが気になるというご相談でした。切らない方法をご希望でしたので、切らないブローリフト(3Dリフト)を施行しました。上まぶたのたるみが改善し、目が開けやすくなったと大変お喜びでした。3DリフトはFDA認可の糸リフトで湘南美容クリニックでは唯一Dr.古澤のみが可能になります!※糸リフト施術のリスク感染、痛み、腫れ、内出血、引きつれ、皮膚の凸凹〜Dr.古澤が選ばれる理由〜 私が、6年連続で若返り施術で日本一を取り続けたのには、理由があります。�@ 【選ばれし唯一の技術】湘南美容クリニックで【ただ1人】だけ、6種類の糸リフトができる。�A 【全ての部位の引き上げ】ほほやフェイスラインだけではなく、おでこやあご下などお顔のすべての部位の引き上げ可能�B 【腫れにくくする技術力】深い解剖学の知識、高い技術力により【限りなく少ないダウンタイム】で最大限のリフトアップが可能。�C 【小顔効果の付与】たるみの改善だけではなく、小顔効果も出せる。詳しくは無料カウンセリングでご相談ください。湘南美容クリニック池袋メトロポリタン口院Tel:0120-232-377 (AM10:00?PM11:00 土日祝日も対応)??診療時間:AM10:00?PM7:00 (最終カウンセリング予約/17:30)予約制??住所:東京都豊島区西池袋1丁目10-8 サン・グロウビル7F池袋駅メトロポリタン口から徒歩2分
施術担当者からのコメント
糸リフト部門で全国おすすめドクターに選抜されております!
施術名:
切らないブローリフト(3Dリフト)
術後3週間
モニター募集→https://www.s-b-c.net/k_campaign/campaign137-0005.html
【症例解説】
50代女性です。
上まぶた外側のたるみが気になるというご相談でした。
切らない方法をご希望でしたので、切らないブローリフト(3Dリフト)を施行しました。
上まぶたのたるみが改善し、目が開けやすくなったと大変お喜びでした。
3DリフトはFDA認可の糸リフトで湘南美容クリニックでは唯一Dr.古澤のみが可能になります!
※糸リフト施術のリスク
感染、痛み、腫れ、内出血、引きつれ、皮膚の凸凹
〜Dr.古澤が選ばれる理由〜
私が、6年連続で若返り施術で日本一を取り続けたのには、理由があります。
�@ 【選ばれし唯一の技術】
湘南美容クリニックで【ただ1人】だけ、6種類の糸リフトができる。
�A 【全ての部位の引き上げ】
ほほやフェイスラインだけではなく、おでこやあご下などお顔のすべての部位の引き上げ可能
�B 【腫れにくくする技術力】
深い解剖学の知識、高い技術力により【限りなく少ないダウンタイム】で最大限のリフトアップが可能。
�C 【小顔効果の付与】
たるみの改善だけではなく、小顔効果も出せる。
詳しくは無料カウンセリングでご相談ください。
湘南美容クリニック池袋メトロポリタン口院
Tel:0120-232-377 (AM10:00?PM11:00 土日祝日も対応)
??診療時間:AM10:00?PM7:00 (最終カウンセリング予約/17:30)
予約制
??住所:東京都豊島区西池袋1丁目10-8 サン・グロウビル7F
池袋駅メトロポリタン口から徒歩2分