美容外科・美容皮膚科・審美歯科なら湘南美容クリニック
電話予約・電話問い合わせ 10:00~22:45対応 番号を通知してお電話ください 0120-489-100
Instagram
LINE
YouTube
公式アプリ
美容皮膚科
あなたに最適な美容メンテナンスをサポートします!
二重整形
これを見たらあなたも思わず二重にしたくなる♡
医療ダイエット
医療ダイエットをしたらマイナス何センチ?リアルな結果を発信中!
若返り
年齢別・お悩み別で「今やるべき美容医療」がわかる美容医療メディア
クマ取り
クマ取り失敗したくない方必見!成功の秘訣満載★
脂肪吸引
美は武器!夜職女性のための美の総合メディア
予約・お問い合わせ
美容外科 MENU
Language
メインメニュー
診療内容一覧
料金一覧
クリニック案内
ドクター一覧
モニター募集
症例写真
よくある質問
当院が選ばれる理由
当院の症例写真は、画像処理により形や大きさをかえるような処理は一切おこなっておりません。
飯田誠丈 医師
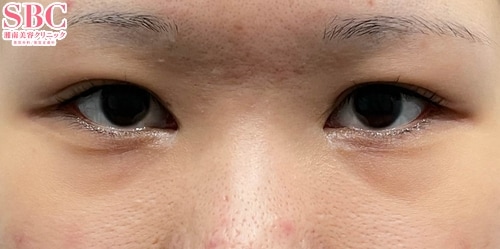
施術前
施術後3ヶ月後
施術した院
部位
施術
施術回数
数量
性別
【施術内容】目の下の切らないクマ取り・たるみ(ふくらみ)取りナチュラル脂肪注射ナノリッチ(目の下)ナチュラル脂肪注射コンデンスリッチ(目の下~ゴルゴ)〈施術前・術後3ヶ月〉----------------------------------------------------疲れて見える印象クマを改善すると-5歳から-10歳と言われます。目の下の切らないクマ・たるみ(ふくらみ)取りは、この「くま」の原因となる眼窩脂肪を除去することにより目の下のたるみやふくらみを改善させ、目まわりの印象を若返らせる治療です。いろんなアイケア商品がありますが、1度出来たたるみ・ふくらみは自力で治すのは困難です。クマの正体である眼窩脂肪を取り除くことで、今後皮膚がたるむことを予防します。?更に脂肪注入を行うことで頬の高さを作り出し、若々しいお顔立ちに戻します。?ご自身の脂肪を使用する為、効果は半永久的。目元にハリと潤いを蘇らせ、ふっくらとしてナチュラルに健康的な素顔を形成することができます。私は豊富は症例数を通じ、腫れや内出血を最低限に行うことが出来ます。?短いダウンタイムを実現する為には、丁寧かつ高い技術が必ず必要です。実の姉の『目の下の切らないクマ・たるみ取り』+『脂肪注入』を行いましたが、腫れや内出血はほとんどなく10歳以上の若返りに成功しました。全てのお客様を【家族】と同様、親身かつ丁寧に施術を行っております。目元にお悩みがある方は、ぜひ一度お気軽にご相談ください。----------------------------------------------------SNSでダウンタイムや完成のお写真など日々の症例を多数掲載しております。☆Instagram毎日更新中二重症例:@sbc_iida_masatake で検索脂肪吸引・豊胸・クマ取り症例:@sbc_iida_m で検索☆TikTokも更新中@sbc_iida_masatake で検索☆YouTubeも配信中まさたけ美容塾 で検索
施術担当者からのコメント
【施術内容】
目の下の切らないクマ取り・たるみ(ふくらみ)取り
ナチュラル脂肪注射ナノリッチ(目の下)
ナチュラル脂肪注射コンデンスリッチ(目の下~ゴルゴ)
〈施術前・術後3ヶ月〉
----------------------------------------------------
疲れて見える印象クマを改善すると-5歳から-10歳と言われます。
目の下の切らないクマ・たるみ(ふくらみ)取りは、この「くま」の原因となる眼窩脂肪を除去することにより目の下のたるみやふくらみを改善させ、目まわりの印象を若返らせる治療です。
いろんなアイケア商品がありますが、1度出来たたるみ・ふくらみは自力で治すのは困難です。
クマの正体である眼窩脂肪を取り除くことで、今後皮膚がたるむことを予防します。?更に脂肪注入を行うことで頬の高さを作り出し、若々しいお顔立ちに戻します。?ご自身の脂肪を使用する為、効果は半永久的。
目元にハリと潤いを蘇らせ、ふっくらとしてナチュラルに健康的な素顔を形成することができます。
私は豊富は症例数を通じ、腫れや内出血を最低限に行うことが出来ます。?短いダウンタイムを実現する為には、丁寧かつ高い技術が必ず必要です。
実の姉の『目の下の切らないクマ・たるみ取り』+『脂肪注入』を行いましたが、腫れや内出血はほとんどなく10歳以上の若返りに成功しました。全てのお客様を【家族】と同様、親身かつ丁寧に施術を行っております。
目元にお悩みがある方は、ぜひ一度お気軽にご相談ください。
----------------------------------------------------
SNSでダウンタイムや完成のお写真など
日々の症例を多数掲載しております。
☆Instagram毎日更新中
二重症例:@sbc_iida_masatake で検索
脂肪吸引・豊胸・クマ取り症例:@sbc_iida_m で検索
☆TikTokも更新中
@sbc_iida_masatake で検索
☆YouTubeも配信中
まさたけ美容塾 で検索