美容外科・美容皮膚科・審美歯科なら湘南美容クリニック
電話予約・電話問い合わせ 10:00~22:45対応 番号を通知してお電話ください 0120-489-100
Instagram
LINE
YouTube
公式アプリ
美容皮膚科
あなたに最適な美容メンテナンスをサポートします!
二重整形
これを見たらあなたも思わず二重にしたくなる♡
医療ダイエット
医療ダイエットをしたらマイナス何センチ?リアルな結果を発信中!
若返り
年齢別・お悩み別で「今やるべき美容医療」がわかる美容医療メディア
クマ取り
クマ取り失敗したくない方必見!成功の秘訣満載★
脂肪吸引
美は武器!夜職女性のための美の総合メディア
予約・お問い合わせ
美容外科 MENU
Language
メインメニュー
診療内容一覧
料金一覧
クリニック案内
ドクター一覧
モニター募集
症例写真
よくある質問
当院が選ばれる理由
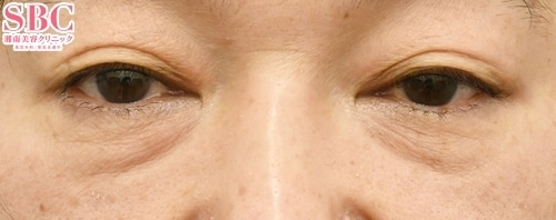
当院の症例写真は、画像処理により形や大きさをかえるような処理は一切おこなっておりません。
坂西寛信 医師
施術前
施術後1ヶ月後
施術した院
部位
施術
施術回数
数量
性別
湘南美容クリニック 統括技術指導医坂西ドクター執刀【切開ハムラ法(眼窩脂肪移動術/再配置)】◎リガメント剥離◎下斜筋リリース◎眼窩脂肪再配置◎隔膜再建/タイトニング◎余剰皮膚切除坂西ドクターは切開ハムラ法の手術で、5つの高度なテクニックを使用してます。眼輪筋の形、眼窩脂肪の量、皮膚の厚さから徹底した最高峰の技術・理論で『貴方に似合った目の下のクマの解消方法』を導き出します?目の下のクマ治療て?綺麗になりたいなら、統括技術指導医て?ある坂西ドクターへご相談下さい。質問はインスタDMへ、お気軽にどうぞ!インスタグラム @sbc_saka24SBCメディカルグループ 技術教育統括統括技術指導医 坂西寛信湘南美容クリニックを代表するレジェンドドクターの1人。実績・センスから多くのお客様に指名される高度な技術を持つドクター。医師400名以上在籍する湘南美容クリニックの統括技術指導医として技術教育を統括しています。「目元切開」と「鼻整形」の分野において、湘南美容クリニックの中でも症例数の最も多い経験豊富な厳選医師としても紹介されています。日本美容外科学会でも数多くの発表を行い、日本の美容医療の発展に貢献しているドクターです。ーーーーーーinfoーーーーーーー■無料カウンセリンクのご案内■店名:湘南美容クリニック 横浜東口院電話:0120-955-79909:00~23:00 (土・日・祝日も対応)-----------------------------------------□交通費補助システム□全国から指名いただき、ありがとうございます!!遠方からのお客様、交通費支給制度をご活用ください。◆治療費合計50万円以上→上限15,000円を支給◆治療費合計70万円以上→上限20,000円を支給◆治療費合計100万円以上→上限30,000円を支給
施術担当者からのコメント
湘南美容クリニック 統括技術指導医
坂西ドクター執刀【切開ハムラ法(眼窩脂肪移動術/再配置)】
◎リガメント剥離
◎下斜筋リリース
◎眼窩脂肪再配置
◎隔膜再建/タイトニング
◎余剰皮膚切除
坂西ドクターは切開ハムラ法の手術で、5つの高度なテクニックを使用してます。
眼輪筋の形、眼窩脂肪の量、
皮膚の厚さから
徹底した最高峰の技術・理論で
『貴方に似合った目の下のクマの解消方法』
を導き出します?
目の下のクマ治療て?綺麗になりたいなら、
統括技術指導医て?ある坂西ドクターへご相談下さい。
質問はインスタDMへ、お気軽にどうぞ!
インスタグラム @sbc_saka24
SBCメディカルグループ 技術教育統括
統括技術指導医 坂西寛信
湘南美容クリニックを代表するレジェンドドクターの1人。
実績・センスから多くのお客様に指名される高度な技術を持つドクター。
医師400名以上在籍する湘南美容クリニックの統括技術指導医として技術教育を統括しています。
「目元切開」と「鼻整形」の分野において、湘南美容クリニックの中でも症例数の最も多い経験豊富な厳選医師としても紹介されています。
日本美容外科学会でも数多くの発表を行い、日本の美容医療の発展に貢献しているドクターです。
ーーーーーーinfoーーーーーーー
■無料カウンセリンクのご案内■
店名:湘南美容クリニック 横浜東口院
電話:0120-955-799
09:00~23:00 (土・日・祝日も対応)
-----------------------------------------
□交通費補助システム□
全国から指名いただき、ありがとうございます!!
遠方からのお客様、交通費支給制度をご活用ください。
◆治療費合計50万円以上→上限15,000円を支給
◆治療費合計70万円以上→上限20,000円を支給
◆治療費合計100万円以上→上限30,000円を支給