美容外科・美容皮膚科・審美歯科なら湘南美容クリニック
電話予約・電話問い合わせ 10:00~22:45対応 番号を通知してお電話ください 0120-489-100
Instagram
LINE
YouTube
公式アプリ
美容皮膚科
あなたに最適な美容メンテナンスをサポートします!
二重整形
これを見たらあなたも思わず二重にしたくなる♡
医療ダイエット
医療ダイエットをしたらマイナス何センチ?リアルな結果を発信中!
若返り
年齢別・お悩み別で「今やるべき美容医療」がわかる美容医療メディア
クマ取り
クマ取り失敗したくない方必見!成功の秘訣満載★
脂肪吸引
美は武器!夜職女性のための美の総合メディア
予約・お問い合わせ
美容外科 MENU
Language
メインメニュー
診療内容一覧
料金一覧
クリニック案内
ドクター一覧
モニター募集
症例写真
よくある質問
当院が選ばれる理由
当院の症例写真は、画像処理により形や大きさをかえるような処理は一切おこなっておりません。
多田彩子 医師
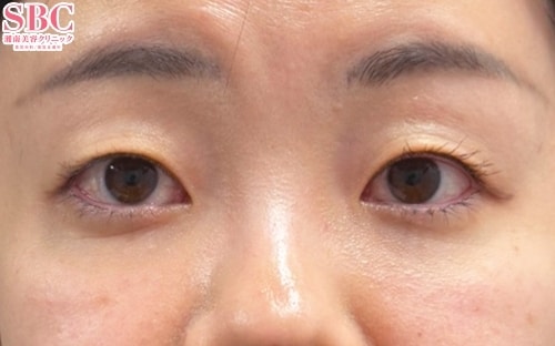
施術前
施術後1ヶ月後
施術した院
部位
施術
施術回数
数量
性別
ーーーー症例内容ーーーー【施術名】目の下の切らないクマ・たるみ(ふくらみ)取りお顔表面を切らずに目の下の余分な脂肪を取り除き、ハリのある生き生きとした目元にする施術です。ーーー私が選ばれる理由ーーー1. 切開系オペも多数執刀しているため、傷跡が綺麗2. お顔や婦人科の施術を私で受けていただき満足したため、他部位でもリピートしていただいている3. ご家族、同僚、ご友人など周囲の方からの口コミ4. 外科出身、外科医歴が長く、女医でも安心お電話で多田医師&モニター番号でご予約、または、以下のweb予約・HPのプロフィールのリンクからでも可能です。https://www.s-b-c.net/k_campaign/campaign018-1048.htmlモニター番号:No.018-1048無料カウンセリング予約電話:0120-489-100ーーーー各種SNSは下記よりーーーー【Instagrm】??アカウント:@sbc_ayako.tada【Twitter】??アカウント:@sbc_tada★モニター様募集中★池袋西口院でご予約可能です。皆様のご応募お待ちしております!!
施術担当者からのコメント
ーーーー症例内容ーーーー
【施術名】目の下の切らないクマ・たるみ(ふくらみ)取り
お顔表面を切らずに目の下の余分な脂肪を取り除き、ハリのある生き生きとした目元にする施術です。
ーーー私が選ばれる理由ーーー
1. 切開系オペも多数執刀しているため、傷跡が綺麗
2. お顔や婦人科の施術を私で受けていただき満足したため、他部位でもリピートしていただいている
3. ご家族、同僚、ご友人など周囲の方からの口コミ
4. 外科出身、外科医歴が長く、女医でも安心
お電話で多田医師&モニター番号でご予約、
または、以下のweb予約・HPのプロフィールのリンクからでも可能です。
https://www.s-b-c.net/k_campaign/campaign018-1048.html
モニター番号:No.018-1048
無料カウンセリング予約電話:0120-489-100
ーーーー各種SNSは下記よりーーーー
【Instagrm】
??アカウント:@sbc_ayako.tada
【Twitter】
??アカウント:@sbc_tada
★モニター様募集中★
池袋西口院でご予約可能です。
皆様のご応募お待ちしております!!