美容外科・美容皮膚科・審美歯科なら湘南美容クリニック
電話予約・電話問い合わせ 10:00~22:45対応 番号を通知してお電話ください 0120-489-100
Instagram
LINE
YouTube
公式アプリ
美容皮膚科
あなたに最適な美容メンテナンスをサポートします!
二重整形
これを見たらあなたも思わず二重にしたくなる♡
医療ダイエット
医療ダイエットをしたらマイナス何センチ?リアルな結果を発信中!
若返り
年齢別・お悩み別で「今やるべき美容医療」がわかる美容医療メディア
クマ取り
クマ取り失敗したくない方必見!成功の秘訣満載★
脂肪吸引
美は武器!夜職女性のための美の総合メディア
予約・お問い合わせ
美容外科 MENU
Language
メインメニュー
診療内容一覧
料金一覧
クリニック案内
ドクター一覧
モニター募集
症例写真
よくある質問
当院が選ばれる理由
当院の症例写真は、画像処理により形や大きさをかえるような処理は一切おこなっておりません。
吉田祥啓 医師
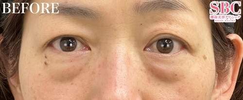
施術前
施術後1ヶ月後
施術した院
部位
施術
施術回数
数量
性別
下眼瞼の裏側に約8mmの切開を加え、中央と内側の脂肪塊を大豆大切除し、外側は少量切除しました。続いて左大腿から採取した脂肪を、クマの部分だけでなくその下の窪みも含め、目の下全体に注入することで、Ogee Curveと呼ばれる綺麗な丸みを作りました。注入する脂肪は左大腿内側から採取します。左足の付け根に数mmの刺入部を作り、そこから細い吸引管を用いて脂肪吸引します。傷跡は1箇所のみで、ほぼわからない程度に治ります。吸引自体は5分程度で終わり、術後も問題なく歩けます。脂肪注入が必要な理由は、脂肪を取るだけでは窪みが残るため、全体的に窪んだ状態(ネガティブベクター)となるからです。また外側の皮膚のたるみが強調され、術前よりさらに目元の小じわが目立つようになります。目元のたるみが強い方や、膨らみが大きい方は上記の症状が出やすいため、脂肪注入をセットですることをお勧めします。クマが気になっている方、ぜひ一度気軽に相談にいらしてください。クマのサイズや皮膚の状態に合わせた、一人ひとりに最適な治療をご提案させていただきます。【instagram更新中】@sbc_a.yoshidaインスタグラムではリアルタイムで沢山の症例写真をあげています!
施術担当者からのコメント
下眼瞼の裏側に約8mmの切開を加え、中央と内側の脂肪塊を大豆大切除し、外側は少量切除しました。
続いて左大腿から採取した脂肪を、クマの部分だけでなくその下の窪みも含め、目の下全体に注入することで、Ogee Curveと呼ばれる綺麗な丸みを作りました。
注入する脂肪は左大腿内側から採取します。
左足の付け根に数mmの刺入部を作り、そこから細い吸引管を用いて脂肪吸引します。
傷跡は1箇所のみで、ほぼわからない程度に治ります。吸引自体は5分程度で終わり、術後も問題なく歩けます。
脂肪注入が必要な理由は、脂肪を取るだけでは窪みが残るため、全体的に窪んだ状態(ネガティブベクター)となるからです。
また外側の皮膚のたるみが強調され、術前よりさらに目元の小じわが目立つようになります。
目元のたるみが強い方や、膨らみが大きい方は上記の症状が出やすいため、脂肪注入をセットですることをお勧めします。
クマが気になっている方、ぜひ一度気軽に相談にいらしてください。クマのサイズや皮膚の状態に合わせた、一人ひとりに最適な治療をご提案させていただきます。
【instagram更新中】
@sbc_a.yoshida
インスタグラムではリアルタイムで沢山の症例写真をあげています!