美容外科・美容皮膚科・審美歯科なら湘南美容クリニック
電話予約・電話問い合わせ 10:00~22:45対応 番号を通知してお電話ください 0120-489-100
Instagram
LINE
YouTube
公式アプリ
美容皮膚科
あなたに最適な美容メンテナンスをサポートします!
二重整形
これを見たらあなたも思わず二重にしたくなる♡
医療ダイエット
医療ダイエットをしたらマイナス何センチ?リアルな結果を発信中!
若返り
年齢別・お悩み別で「今やるべき美容医療」がわかる美容医療メディア
クマ取り
クマ取り失敗したくない方必見!成功の秘訣満載★
脂肪吸引
美は武器!夜職女性のための美の総合メディア
予約・お問い合わせ
美容外科 MENU
Language
メインメニュー
診療内容一覧
料金一覧
クリニック案内
ドクター一覧
モニター募集
症例写真
よくある質問
当院が選ばれる理由
当院の症例写真は、画像処理により形や大きさをかえるような処理は一切おこなっておりません。
原田樹幸 医師
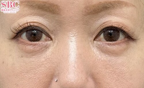
施術前
施術後1ヶ月後
施術した院
部位
施術
施術回数
数量
性別
目の下の切らないクマ・たるみ(ふくらみ)取り+ナチュラル脂肪注射(コンデンスリッチ)を受けられた方の症例写真です。第一印象は目元の印象で決まるとも言われています。目の下のふくらみは眼窩脂肪と呼ばれる " 脂肪 " が原因です。脂肪により皮膚も徐々に引き延ばされ、たるみにつながります。お目元の状態に応じてクマ・たるみ(ふくらみ)取りや脂肪注入術併用の相談を行い、しっかりと納得した上で手術を行います。そのためカウンセリングや術前デザインを丁寧かつ入念に行います。<手術に際して>●お目元の状態の把握●クマ・たるみ(ふくらみ)が改善されることで目元がどう変化するのかのイメージ共有●そのイメージを目指すにあたって脂肪注入術併用が良いのかどうか ( あるいは皮膚切除併用が望ましいのかなど )●手術前のデザイン ( 最終的な脱脂量や注入量の擦り合わせ )●手術そのもの ( 微細な操作 )●術後のアフターケア ( 相談しやすい雰囲気作り )この過程のどこが欠けてもいけません。外科専門医として誠心誠意向き合って参ります。お目元でお悩みの方はもちろん、目元の印象を変えたい、手術が必要かどうか見て欲しいなど、何でも構いませんのでお気軽にカウンセリングにお越しください。
施術担当者からのコメント
目の下の切らないクマ・たるみ(ふくらみ)取り+ナチュラル脂肪注射(コンデンスリッチ)を受けられた方の症例写真です。
第一印象は目元の印象で決まるとも言われています。
目の下のふくらみは眼窩脂肪と呼ばれる " 脂肪 " が原因です。
脂肪により皮膚も徐々に引き延ばされ、たるみにつながります。
お目元の状態に応じてクマ・たるみ(ふくらみ)取りや脂肪注入術併用の相談を行い、しっかりと納得した上で手術を行います。
そのためカウンセリングや術前デザインを丁寧かつ入念に行います。
<手術に際して>
●お目元の状態の把握
●クマ・たるみ(ふくらみ)が改善されることで目元がどう変化するのかのイメージ共有
●そのイメージを目指すにあたって脂肪注入術併用が良いのかどうか ( あるいは皮膚切除併用が望ましいのかなど )
●手術前のデザイン ( 最終的な脱脂量や注入量の擦り合わせ )
●手術そのもの ( 微細な操作 )
●術後のアフターケア ( 相談しやすい雰囲気作り )
この過程のどこが欠けてもいけません。
外科専門医として誠心誠意向き合って参ります。
お目元でお悩みの方はもちろん、目元の印象を変えたい、手術が必要かどうか見て欲しいなど、何でも構いませんのでお気軽にカウンセリングにお越しください。