美容外科・美容皮膚科・審美歯科なら湘南美容クリニック
電話予約・電話問い合わせ 10:00~22:45対応 番号を通知してお電話ください 0120-489-100
Instagram
LINE
YouTube
公式アプリ
美容皮膚科
あなたに最適な美容メンテナンスをサポートします!
二重整形
これを見たらあなたも思わず二重にしたくなる♡
医療ダイエット
医療ダイエットをしたらマイナス何センチ?リアルな結果を発信中!
若返り
年齢別・お悩み別で「今やるべき美容医療」がわかる美容医療メディア
クマ取り
クマ取り失敗したくない方必見!成功の秘訣満載★
脂肪吸引
美は武器!夜職女性のための美の総合メディア
予約・お問い合わせ
美容外科 MENU
Language
メインメニュー
診療内容一覧
料金一覧
クリニック案内
ドクター一覧
モニター募集
症例写真
よくある質問
当院が選ばれる理由
当院の症例写真は、画像処理により形や大きさをかえるような処理は一切おこなっておりません。
中山正彦 医師
施術前
施術後1ヶ月後
施術した院
部位
施術
施術回数
数量
性別
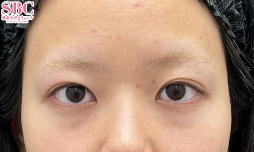
ーーーー症例内容ーーーー裏ハムラ法ーーー執刀医についてーーー ★42歳 医師16年目の外科専門医 ★乳腺・乳房再建手術・臓器移植に10年以上従事 ★自分の家族の手術も多数執刀 ★SBCスタッフや医師も多数執刀 ★指名の多くが看護師・医師・他の美容クリニックスタッフ �A圧倒的な脂肪吸引症例数★ベイザー脂肪吸引症例数1位※2024年下半期 SBC中四国エリア(倉敷院在籍時)�BSBC年間MVPを受賞★2024年SBC award MVP doctor of the year�C休日は常に他院で手術見学SBC内外を問わず日々トップレベルドクターの技術を取り入れてアップデートし続けています。ーーーインスタグラムやってますーーーメインアカウント@sbc_machahiko.n脂肪吸引・豊胸→@machahiko_bodyお気軽にご相談ください^^SBC湘南美容クリニック長崎院 0120-777-209
施術担当者からのコメント
ーーーー症例内容ーーーー
裏ハムラ法
ーーー執刀医についてーーー
★42歳 医師16年目の外科専門医
★乳腺・乳房再建手術・臓器移植に10年以上従事
★自分の家族の手術も多数執刀
★SBCスタッフや医師も多数執刀
★指名の多くが看護師・医師・他の美容クリニックスタッフ
�A圧倒的な脂肪吸引症例数
★ベイザー脂肪吸引症例数1位
※2024年下半期 SBC中四国エリア(倉敷院在籍時)
�BSBC年間MVPを受賞
★2024年SBC award MVP doctor of the year
�C休日は常に他院で手術見学
SBC内外を問わず日々トップレベルドクターの技術を取り入れてアップデートし続けています。
ーーーインスタグラムやってますーーー
メインアカウント@sbc_machahiko.n
脂肪吸引・豊胸→@machahiko_body
お気軽にご相談ください^^
SBC湘南美容クリニック長崎院
0120-777-209